REBEAUTY 韓國美妝
搜尋
登入
註冊
診所
分類
查看全部
整形外科
皮膚科
眼科
牙科
熱門項目
眼部整形
抽脂
隆鼻術
面部輪廓
隆胸
整形外科
皮膚科
眼科
牙科
評價
REAL
前後對比
YouTube
雜誌
NEW
活動
HOT
AI模擬
AI
REBEAUTY 韓國美妝
登入
新註冊
整形虛擬模擬
整形體驗
診所
全部
整形外科
皮膚科
眼科
牙科
內容
評價
對比
YouTube
雜誌
活動
支援
常見問題
公告
聯繫我們
社群登入
前後對比
按瀏覽量
最新
查看治療前後的真實變化
所有項目
#上眼瞼
#上眼瞼 #上提
#上眼瞼 #上眼瞼脂肪移植
#上眼瞼 #下眼瞼
#上眼瞼 #下眼瞼 #眼上脂肪移除
#下眼瞼
#下眼瞼 #上眼皮脂肪移除
#下眼瞼 #上眼瞼
#下眼瞼 #上眼瞼脂肪移植
#下眼瞼 #上眼瞼脂肪移植 #全臉脂肪移植
#下眼瞼 #額頭拉皮(安多泰)
#全切
#全切 #上切 #上眼瞼抽脂 #後眼角下至 #眼下脂肪再配置
#全切 #上提 #開內眼角 #鼻樑(矽膠) #鼻尖(自體軟骨) #駝峰鼻矯正
#全切 #上眥 #解除粘連
#全切 #上眼角 #後下至
#全切 #上瞼脂肪移植 #眼下脂肪再配置
#全切 #上開
#全切 #後眼角下至 #上眼瞼脂肪移植 #眼型矯正
#全切 #提肌矯正 #上開眼角 #眼窩脂肪移除 #眼底脂肪重新配置
#全切 #眼型矯正
#全切 #眼型矯正 #後下至
#全切 #眼窩脂肪移植
#全切 #眼部脂肪去除
#全切開 #上提 #提肌 #眼窩脂肪移除
#全切開 #上提 #眼型矯正
#全切開 #上開眼角 #眼窩補脂
#全切開 #提眼肌 #上眼瞼脂肪移植
#全臉脂肪移植 #鼻樑(矽膠) #鼻尖(自體軟骨) #自體肋骨隆鼻
#前額拉皮(安多泰) #下眼瞼
#後眼角下至
#眼下脂肪重置 #後眼角下至
#眼型矯正 #眼底脂肪重新配置
#眼底脂肪重置 #全臉脂肪移植
#眼形矯正
#眼袋脂肪重置
#縮鼻翼
#臉部脂肪移植
#部分切開
#部分切開 #上提 #眼上脂肪移除 #後下至
#部分切開 #上提 #眼窩脂肪移除
#部分切開 #上提 #眼窩脂肪移除 #眼形矯正
#部分切開 #上眥 #眼窩脂肪移除 #鼻樑(矽膠) #鼻尖(自體軟骨)
#部分切開 #上眥成形 #鷹鉤鼻矯正
#部分切開 #上眥成形 #鼻樑(矽膠) #鼻尖(自體軟骨)
#部分切開 #上眥整形 #上眼瞼脂肪移植
#部分切開 #上眥整形 #提眼肌 #眼窩抽脂
#部分切開 #上眥整形 #眼尾下至 #眼窩脂肪移除 #鼻樑(矽膠) #鼻尖(自體軟骨) #全臉脂肪移植
#部分切開 #上眥整形 #開內眼角 #眼窩脂肪移除 #眼形矯正 #短鼻(朝天鼻)矯正 #蒜頭鼻矯正 #鼻樑(矽膠) #鼻尖(自體軟骨)
#部分切開 #上眼瞼抽脂
#部分切開 #上眼瞼抽脂 #眼形矯正
#部分切開 #上眼瞼脂肪移植
#部分切開 #上眼瞼脂肪移除 #後下至
#部分切開 #上眼角開大 #眼上脂肪移除 #眼下脂肪再配置
#部分切開 #上開
#部分切開 #上開 #後下至 #鼻修復 #鼻樑(矽膠)
#部分切開 #上開 #眼形矯正
#部分切開 #上開 #眼窩脂肪移除 #鼻樑(矽膠) #鼻尖(自體軟骨) #駝峰鼻矯正
#部分切開 #上開 #開內眼角 #鼻樑(矽膠) #鼻尖(自體軟骨)
#部分切開 #上開 #鼻修復 #鼻樑(矽膠) #鼻尖(自體軟骨) #自體肋軟骨隆鼻 #駝峰鼻矯正
#部分切開 #上開眼角 #下眼瞼
#部分切開 #上開眼角 #後下至
#部分切開 #上開眼角 #後下至 #眼上脂肪移除
#部分切開 #上開眼角 #後下至 #眼窩脂肪移除 #開前眼角
#部分切開 #上開眼角 #後下開眼角 #解除粘連 #鼻修復 #鼻樑(矽膠) #鼻尖(自體軟骨) #臉部脂肪移植
#部分切開 #上開眼角 #蒜頭鼻矯正
#部分切開 #上開眼角 #解除粘連
#部分切開 #上開眼角 #鼻重修 #鼻樑(矽膠) #鼻尖(自體軟骨)
#部分切開 #後下至 #眼下脂肪重置
#部分切開 #後切下至
#部分切開 #後眼角下至 #眼型矯正
#部分切開 #提肌 #上眥 #眼窩脂肪移除
#部分切開 #提肌 #開內眼角 #開上眼角 #眼上脂肪去除
#部分切開 #提肌矯正 #上眼瞼抽脂 #鼻樑(矽膠) #鼻尖(自體軟骨) #駝峰鼻矯正
#部分切開 #無假體隆鼻 #駝峰鼻矯正 #鼻尖(自體軟骨)
#部分切開 #眼型矯正 #上眼瞼去脂 #眼底脂肪重置
#部分切開 #眼型矯正 #上眼瞼抽脂 #開內眼角 #開上眼角
#部分切開 #眼型矯正 #上眼瞼脂肪移植
#部分切開 #眼型矯正 #上開眼角
#部分切開 #眼型矯正 #後下至
#部分切開 #眼型矯正 #眼底脂肪重新配置
#部分切開 #眼型矯正 #眼窩脂肪移除
#部分切開 #眼型矯正 #眼窩脂肪移除 #蒜頭鼻矯正
#部分切開 #眼型矯正 #開上眼角 #開內眼角
#部分切開 #眼型矯正 #開內眼角 #開上眼角
#部分切開 #眼型矯正 #開眼頭
#部分切開 #眼型矯正 #鼻樑(矽膠) #鼻尖(自體軟骨)
#部分切開 #眼型矯正 #鼻樑(矽膠) #鼻尖(自體軟骨) #短鼻(朝天鼻)矯正
#部分切開 #眼型矯正 #鼻樑(矽膠) #鼻尖(自體軟骨) #蒜頭鼻矯正
#部分切開 #眼型矯正 #鼻重修 #鼻樑(矽膠) #鼻尖(自體軟骨) #短鼻(朝天鼻)矯正
#部分切開 #眼底脂肪重新配置
#部分切開 #眼形矯正
#部分切開 #眼窩脂肪移除 #蒜頭鼻矯正 #駝峰鼻矯正 #鼻樑(矽膠) #鼻尖(自體軟骨)
#部分切開 #開上眥 #眼下脂肪重新排列 #上眼瞼脂肪移植
#部分切開 #開上眥 #開眼頭 #眼窩脂肪移除
#部分切開 #開上眼角 #開內眼角
#部分切開 #開內眼角 #去除眼上脂肪
#部分切開 #開內眼角 #眼窩脂肪移除 #開上眼角
#部分切開 #開內眼角 #開上眼角 #眼型矯正 #眼上脂肪去除
#部分切開 #開內眼角 #開上眼角 #眼窩脂肪移除 #鼻樑(矽膠) #鼻尖(自體軟骨)
#部分切開 #開前眼角 #開上眼角
#部分切開 #開前眼角 #開上眼角 #去除眼上脂肪
#部分切開 #開前眼角 #開上眼角 #眼上脂肪去除 #鼻樑(矽膠) #鼻尖(自體軟骨) #縮鼻翼
#部分切開 #開前眼角 #開上眼角 #鼻樑(矽膠) #鼻尖(自體軟骨) #駝峰鼻矯正
#開上眼角
#開上眼角 #眼窩脂肪移除 #開後眼角及下至 #上眼瞼
#開上眼角 #部分切開 #提肌糾正 #上瞼脂肪去除
#開上眼角 #非切開(埋線)
#開後眼角下至 #眼底脂肪重新配置
#隆乳
#非切開(埋線)
#非切開(埋線) #上提
#非切開(埋線) #上眼瞼脂肪移植
#非切開(埋線) #上開眼角 #後下至
#非切開(埋線) #上開眼角 #眼下脂肪重置
#非切開(埋線) #上開眼角 #開內眼角 #眼窩脂肪移除
#非切開(埋線) #後下至
#非切開(埋線) #後下至 #眼底脂肪重置
#非切開(埋線) #提肌 #鼻樑(矽膠) #鼻尖(自體軟骨)
#非切開(埋線) #眼型矯正
#非切開(埋線) #眼袋脂肪位移
#非切開(埋線) #開眼頭
#額頭拉提(Endotine) #開後眼角及下眼瞼下至 #眼底脂肪重新配置
#額頭拉皮(安多泰)
#額頭拉皮(安多泰) #開後眼角下至
#駝峰鼻矯正 #蒜頭鼻矯正 #縮鼻翼
#鼻樑(矽膠) #鼻尖(自體軟骨)
#鼻樑(矽膠) #鼻尖(自體軟骨) #縮鼻翼
#鼻樑(矽膠) #鼻尖(自體軟骨) #自體肋軟骨隆鼻 #蒜頭鼻矯正 #縮鼻翼
#鼻樑(矽膠) #鼻頭(自體軟骨) #縮鼻翼 #蒜頭鼻矯正
+ DA 脂肪移植
+ Shaping面部輪廓[顴骨+下巴]
+ 全臉脂肪移植
+ 全臉脂肪移植 + 肉毒桿菌 + AccuSculpt雷射溶脂
+ 塑形面部輪廓[下頜角+下巴]
+ 塑形面部輪廓[輪廓3項]
+ 臉部輪廓塑形 + 輪廓三項
+ 臉部輪廓塑形[輪廓三項] + AccuSculpt 激光溶脂
+ 臉部輪廓塑形[輪廓三項] + 全臉脂肪移植
+ 臉部輪廓塑形[顴骨]
+ 臉部輪廓塑形[顴骨] + AccuSculpt 激光溶脂
+ 臉部輪廓塑形[顴骨+下顎角]
+ 臉部輪廓重塑手術 + 塑形臉部輪廓[顴骨+下巴前移]
+ 迷你拉提 + 肉毒桿菌
+ 面部輪廓修復手術 + 塑形面部輪廓[顴骨]
+ 額頭脂肪移植
+DA抽脂
+美白療程
+輪廓拉提(Accu) + 假體臉部輪廓
+面部輪廓塑形 +輪廓三項
45度開內眼角、下至
AccuSculpt (下顎線、雙下巴)
AccuSculpt (下顎線、雙下巴) + Elasticum 彈力線
AccuSculpt (下顎線、雙下巴) + MINT 秘特線拉提
AccuSculpt (現為 Venus Laser) (下顎線) + 肉毒桿菌 (下巴)
AccuSculpt (現為維納斯雷射)
AccuSculpt (現為維納斯雷射) (下顎線)
AccuSculpt (雙下巴、下顎線)
AccuSculpt 激光溶脂 (臉頰、下顎線) + MINT 埋線拉提
AccuSculpt 雷射溶脂
AccuSculpt(臉頰)+切開V臉拉提+SMAS
AccuSculpt雷射溶脂(下顎線、雙下巴)+切開式V臉拉提+MINT線雕拉提
AccuSculpt雷射溶脂(雙下巴、下顎線)+V型下顎線拉提+MINT線拉提
DA 抽脂
DA 胸部整形
DA 輪廓三項 + 眼部整形 + 鼻部整形 + 脂肪移植
DA 隆乳重修手術
DA抽脂 + 腹部整形
DA抽脂[腹部]
DA拉提
DK by MD code
Elasticum + 迷你拉皮
Elasticum 彈力線 + AccuSculpt (臉頰)
Elasticum 彈力線 + AccuSculpt 雷射溶脂
Elasticum 彈力線 + MINT 埋線拉提 + 迷你拉皮
Elastikum 彈力線 + AccuSculpt 雷射溶脂 (雙下巴、法令紋)
Endotine 五爪前額拉皮
Epithicon 線雕拉提(法令紋、下顎線)+ 下巴玻尿酸 + 咀嚼肌肉毒
Epiticon 拉提 (法令紋、下顎線)
Facella 拉提
Facella 提拉、Fit 針、身體線條 Shurink
GL下至修復, 瞼內翻, GL下至 (開後眼角, 下至)...
GL下至修復,眼瞼內翻,眼底脂肪重置,下至...
GL下至復原、提眉術(單側)、眼瞼內翻
GL下至復原、瞼內翻、外眥復原
GL眼尾下至 (開後眼角、下至)
GL眼尾下至(開後眼角、眼瞼下至)、眼瞼內翻
GL眼底下至修復、瞼內翻
InMode FORMA, 海芙音波, Virtue RF
Inmode FX, 海芙音波, Virtue RF, 溶脂針
Jamber 埋線, 法令紋填充
Jamber 埋線拉提
MACS拉提(面部拉皮手術)
MACS拉皮(面部拉皮手術)+上眼瞼手術+下眼瞼手術+脂肪移植
MACS拉皮(面部拉皮手術)+維納斯雷射
MACS拉皮(面部拉皮手術)+脂肪移植+上眼瞼手術+下眼瞼手術+眼底脂肪重置
MACS拉皮(面部拉皮術)+脂肪移植
MAX拉提(面部拉皮手術)+脂肪移植+肉毒桿菌
MINT 埋線拉提
MINT 埋線拉提 + Accu (下顎線)
MINT 埋線拉提 + AccuSculpt 激光溶脂 (下顎線、雙下巴)
MINT 埋線拉提 + 迷你拉皮 (SMAS)
Misko+下巴矯正
O字縮小_第6個月
PCL 埋線拉提、唇部填充
Picosure 皮秒雷射 (除刺青)
Shaping面部輪廓[下頜角+下巴]
Shaping面部輪廓[顴骨+下巴] + 面部輪廓修復手術
Smile雙顎+Turning顴骨縮小+鼻修復+脂肪移植
Smile雙顎+顴骨縮小+下巴
Turning 顴骨縮小 + AccuSculpt
Ulthera + InMode
Ulthera + InMode + 輪廓針
Ulthera + 肉毒水光
Ulthera Prime + InMode FX
Ulthera Prime 300發 + Thermage FLX 300發
Ulthera Prime 400發 + Onda 40KJ
Ulthera Prime 400發 + 晶亮瓷 (木偶紋、法令紋)
Ulthera超聲刀+肉毒提拉 V臉
V-line 拉提、雙下巴抽脂 & 肌肉縫合
Volnewmer 300發 + Onda 40KJ
Volnewmer 400發 + Onda 40KJ
V型下顎線拉提
V臉下顎線拉提 + MINT線拉提
V臉拉提
V臉拉提, 迷你拉提
V臉拉提,臉頰玻尿酸
V臉拉提,雙下巴拉提
V臉拉提、雙下巴拉提、迷你拉提
一日強效纖
三項開眼角(上開眼角、外開眼角、眼瞼下至)、眼底脂肪重新配置...
三項開眼角(開內眼角、開外眼角、下至)
上眼瞼
上眼瞼 + 提肌手術
上眼瞼 + 眉下提眉
上眼瞼 + 眼下脂肪重置
上眼瞼 + 眼底脂肪重置
上眼瞼,下眼瞼
上眼瞼、下眼瞼
上眼瞼、下眼瞼、外眼角固定術
上眼瞼、下眼瞼、眼形矯正
上眼瞼、內眥贅皮重建
上眼瞼、切開(雙線法,3次)、提肌手術、脂肪移植(眼瞼)、雙眼皮降窄...
上眼瞼、提眉術
上眼瞼、提眼肌手術
上眼瞼、提肌手術、上眥成形
上眼瞼、眉下提眉術
上眼瞼、眼型矯正
上眼瞼、眼型矯正、下眼瞼
上眼瞼、眼型矯正、下眼瞼、外眼角手術
上眼瞼、眼底脂肪重置
上眼瞼、眼形矯正
上眼瞼(重修)
上眼瞼(雙線法)、下眼瞼、眼型矯正、開後眼角、眼窩脂肪重置、降低雙眼皮線條...
上眼瞼+下眼瞼
上眼瞼+下眼瞼+眼型矯正
上眼瞼+眼部修復+開內眼角+下至
上眼瞼+開眼頭
上眼瞼手術、下眼瞼手術、提肌手術、開內眼角、外眥固定術...
上眼瞼手術、提肌矯正、上眼瞼脂肪移植
上眼瞼手術、提肌糾正、提眉術
上眼瞼提肌矯正重修手術
上眼瞼提肌糾正+下眼瞼
上眼瞼提肌糾正+重修
上眼瞼整形,下眼瞼整形
上眼瞼整形(凹陷眼、多重褶皺矯正),上眼瞼脂肪移植
上眼瞼眼型矯正
上眼瞼眼型矯正、下眼瞼脂肪重置、上眼瞼脂肪移植
上眼瞼脂肪移植
上眼瞼脂肪移植、後眼角下至
上眼瞼脂肪移植(眼窩凹陷矯正)
上眼瞼重修+下眼瞼
上眼瞼重修手術
上眼瞼重修手術,下眼瞼眼底脂肪重置
上眼瞼重修手術+眼下脂肪移除
上顎 / 全口 / 補骨
上顎 / 前牙區 / 4顆以上 / 補骨
上顎 / 前牙部位 / 3顆以下 /
上顎 / 前牙部位 / 3顆以下 / 補骨
上顎 / 磨牙部位 / 4顆以上 / 補骨
上顎 / 臼齒部位 / 3顆以下 / 補骨
上顎/全口 / 補骨|舒眠
上顎/全口 / 補骨|舒眠|阿斯匹靈
上顎/全口 / 補骨|舒眠|高血壓
上顎/全口 / 補骨|舒眠|高血壓|糖尿病
上顎/前牙區 / 4顆以上 / 植骨|高血壓
上顎/前牙部位 / 3顆以下 / 補骨|舒眠
上顎/前牙部位 / 3顆以下 / 補骨|舒眠|阿斯匹靈
上顎/前牙部位 / 3顆以下 / 補骨|舒眠|高血壓
上顎/前牙部位 / 3顆以下 / 補骨|舒眠|高血壓|糖尿病|阿斯匹靈
上顎/前牙部位 / 3顆以下 / 補骨|高血壓
上顎/前牙部位 / 3顆以下 / 補骨|高血壓|糖尿病
上顎/前牙部位 / 4顆以上 / 補骨|糖尿病
上顎/前牙部位 / 4顆以上 / 補骨|舒眠
上顎/前牙部位 / 4顆以上 / 補骨|舒眠|高血壓
上顎/前牙部位 / 4顆以上 / 補骨|阿斯匹靈
上顎/前牙部位 / 4顆以上 / 補骨|高血壓|糖尿病
上顎/大臼齒部位 / 3顆以下 / 補骨|舒眠|高血壓
上顎/磨牙部位 / 3顆以下 / 補骨|舒眠|糖尿病
上顎/磨牙部位 / 4顆以上 / 補骨|舒眠
上顎/臼齒部位 / 3顆以下 / 補骨|舒眠
上顎/臼齒部位 / 3顆以下 / 補骨|高血壓
上顎/臼齒部位 / 3顆以下 / 補骨|高血壓|糖尿病
上顎/臼齒部位 / 4顆以上 / 補骨|舒眠|高血壓
上顎/臼齒部位 / 4顆以上 / 補骨|舒眠|高血壓|糖尿病
上顎/臼齒部位 / 4顆以上 / 補骨|舒眠|高血壓|糖尿病|阿斯匹靈
上顎/臼齒部位 / 4顆以上 / 補骨|高血壓
上顎/門牙部位 / 4顆以上 / 補骨|糖尿病|阿斯匹靈
上顎/門牙部位 / 4顆以上 / 補骨|舒眠|高血壓|糖尿病
下巴前移
下巴後縮矯正+鼻重修+蒜頭鼻矯正+縮鼻翼
下巴截骨手術
下巴整形+眼部整形+鼻部整形+脂肪移植(額頭)
下巴玻尿酸
下巴縮小, 下顎角縮小
下巴縮小術
下眼瞼
下眼瞼 + 去眼袋
下眼瞼 + 眉下提眉
下眼瞼 + 眼袋脂肪移除 + 脂肪重置
下眼瞼 + 雙眼皮切開 (重修)
下眼瞼、中面部拉皮
下眼瞼、前額拉皮(線雕固定)
下眼瞼、前顴骨脂肪移植
下眼瞼、提眉術
下眼瞼、眉下提拉
下眼瞼、眉下提拉、脂肪移植(眼下)、肉毒桿菌(眼周)
下眼瞼、眉下提拉、開內眼角
下眼瞼、眉下提眉(脂肪移除)
下眼瞼、眼瞼內翻、外眦固定術
下眼瞼、脂肪移植(前顴骨)
下眼瞼、脂肪移植(眼下)
下眼瞼、蘋果肌脂肪移植
下眼瞼+上眼瞼
下眼瞼手術 + 眉下提眉術
下眼瞼手術 提眉術 眼底脂肪重新配置
下眼瞼手術、中臉拉皮、眼底脂肪重置
下眼瞼手術、眉下提眉術、中面部拉皮術、面部拉皮術、脂肪移植(全臉)、肉毒桿菌(眉間)、飛梭雷射、PDRN 注射、DDR
下眼瞼手術、眼下脂肪重置、中面部拉皮
下眼瞼拉皮+眉下提眉
下眼瞼整形
下眼瞼整形,眉下提拉
下眼瞼脂肪移除
下眼瞼重修手術
下眼瞼重修手術,眉下提拉
下眼瞼重修手術、眉下提拉術、脂肪移植(眼下)
下眼瞼重修手術、脂肪移植(前頰、法令紋)、部分切開拉皮術
下頜角、下巴、皮質骨切除、維納斯(側臉頰、下巴下方)
下頜角、下巴、皮質骨切除、維納斯(臉頰、下巴底)、埋線拉提
下頜角、顴骨、下巴
下頜角、顴骨、下巴、皮質骨切除
下頜角、顴骨、下巴、雙顎
下頜角+下巴
下頜角縮小+下巴手術+鼻修復手術
下頜角縮小+顴骨縮小+下巴整形 (輪廓三項)
下頜角縮小+顴骨縮小+下巴整形+鼻整形
下頜角縮小+鼻整形+AccuSculpt(下顎線)
下顎 / 全口 / 補骨
下顎 / 前牙部位 / 4顆以上 / 補骨
下顎 / 前牙部位 / 4顆以上 / 高血壓
下顎 / 磨牙部位 / 4顆以上 / 補骨
下顎 / 臼齒部位 / 3顆以下 / 補骨
下顎/全口 / 補骨|舒眠
下顎/全口 / 補骨|舒眠|糖尿病
下顎/全口 / 補骨|舒眠|高血壓
下顎/全口/補骨|高血壓
下顎/前牙區 / 3顆以下 / 補骨|舒眠
下顎/前牙部位 / 3顆以下 / 補骨|舒眠|糖尿病
下顎/前牙部位 / 3顆以下 / 補骨|舒眠|高血壓
下顎/前牙部位 / 3顆以下 / 補骨|舒眠|高血壓|糖尿病
下顎/前牙部位 / 3顆以下 / 補骨|高血壓
下顎/前牙部位 / 4顆以上 / 補骨|舒眠|高血壓|糖尿病
下顎/前牙部位 / 4顆以上 / 補骨|舒眠|高血壓|糖尿病|阿斯匹靈
下顎/前牙部分 / 3顆以下 / 補骨
下顎/前牙部分 / 4顆以上 / 補骨|舒眠|高血壓
下顎/大臼齒部位 / 4顆以上 / 補骨|舒眠|高血壓
下顎/臼齒部位 / 3顆以下 / 補骨|舒眠
下顎/臼齒部位 / 3顆以下 / 補骨|舒眠|糖尿病
下顎/臼齒部位 / 3顆以下 / 補骨|舒眠|高血壓
下顎/臼齒部位 / 3顆以下 / 補骨|舒眠|高血壓|糖尿病|阿斯匹靈
下顎/臼齒部位 / 3顆以下 / 補骨|阿斯匹靈
下顎/臼齒部位 / 3顆以下 / 補骨|高血壓
下顎/臼齒部位 / 3顆以下 / 補骨|高血壓|糖尿病
下顎/臼齒部位 / 4顆以上 / 補骨|舒眠
下顎/臼齒部位 / 4顆以上 / 補骨|舒眠|阿斯匹靈
下顎/臼齒部位 / 4顆以上 / 補骨|舒眠|高血壓|糖尿病
下顎/臼齒部位 / 4顆以上 / 補骨|高血壓
下顎/門牙部位 / 3顆以下 / 補骨|阿斯匹靈
下顎/門牙部位 / 4顆以上 / 補骨|舒眠
下顎線抽脂、埋線拉提、玻尿酸
下顎角、下巴
下顎角、下巴、皮質骨切除
下顎角、顴骨、下巴、皮質骨切除、深層脂肪墊切除
下顎角、顴骨、下巴、皮質骨切除、鼻子(鼻樑、鼻尖)重修手術
下顎角、顴骨、皮質骨切除、脂肪移植、維納斯雷射
下顎角+下巴整形 (T型截骨)
下顎角+顴骨+V型切骨
下顎角削骨二次手術+顴骨削骨二次手術
下顎角手術+顴骨縮小術
下顎角縮小
下顎角縮小 + 下巴整形 (T字截骨)
下顎角縮小+下巴整形
下顎角縮小+顴骨縮小
下顎角縮小+顴骨縮小+V型截骨
下顎角縮小+顴骨縮小+下巴整形
下顎角縮小+顴骨縮小+下巴整形 (輪廓三項)+鼻整形
下顎角縮小+顴骨縮小+下巴整形(二次手術)
下顎角縮小+顴骨縮小重修手術+下巴整形
下顎角縮小修復手術+顴骨縮小+下巴
下顎角縮小術
世彬誠信_第12個月
世彬誠信_第1個月
世彬誠信_第2個月
世彬誠信_第3個月
世彬誠信_第4個月
世彬誠信_第6個月
中年眼部整形
中臉拉提+AccuSculpt+Elasticum
中面部拉提
中面部拉提 + AccuSculpt
中面部拉提+AccuSculpt+脂肪移植
中面部拉皮+安多泰
乳房縮小
乳頭凹陷
二次隆乳+魔滴隆乳
人中縮短
假體面部輪廓 [額頭輪廓術]
免矯正微笑Selfie雙顎 + 下巴
內視鏡前額拉皮
內視鏡額頭拉提
內視鏡額頭拉皮
全口 / 補骨 | 舒眠 | 糖尿病
全口/全部 / 補骨
全口/全體 / 4顆以上 / 補骨|舒眠
全口/全體 / 睡眠|高血壓|糖尿病
全口/全體 / 補骨|舒眠
全口/全體 / 補骨|舒眠|糖尿病|阿斯匹靈
全口/全體 / 補骨|舒眠|高血壓
全口/全體 / 補骨|舒眠|高血壓|糖尿病
全臉拉提+Accu拉提
全臉拉皮
全臉拉皮、下頜角縮小
全臉拉皮、額頭拉皮、顴骨縮小術、長曲線下頜角手術、皮質骨切除術、下巴縮小術、下巴前移術
全臉拉皮、顴骨縮小術、下巴縮小術
全臉拉皮+下眼瞼手術
全臉拉皮+頸部拉皮
全臉拉皮+頸部拉皮+AccuSculpt雷射拉皮
全臉拉皮手術
全臉拉皮手術+AccuSculpt雷射溶脂(下顎線)
全臉拉皮手術+下眼瞼手術
全臉拉皮手術+脂肪移植
全臉脂肪移植
全臉脂肪移植+AccuSculpt
全臉脂肪移植+迷你拉提+豐唇玻尿酸
全臉迷你拉提+AccuSculpt激光溶脂
全臉迷你拉提+軟組織輪廓術
全臉迷你拉皮+下眼瞼手術
全臉面部拉皮、額頭拉皮
全面部拉皮術+安多泰提拉
其他
凸嘴鼻、功能性鼻整形、蒜頭鼻、歪鼻、長鼻、龍鼻
切開
切開,提肌糾正,瞼內翻
切開、三項開眼角(開內眼角、開上眼角、下至)、眼瞼內翻...
切開、上提、眼窩脂肪回填
切開、上提、鼻、矽膠、鼻尖(鼻中隔)
切開、兩項開眼角(開內眼角、開上眼角)
切開、兩項開眼角(開後眼角、下至)
切開、提肌、ROOF脂肪移除
切開、提肌、三項開眼角(前開、後開、下至)、ROOF脂肪移除...
切開、提肌、開上眼角
切開、提肌手術、開上眼角、ROOF脂肪切除
切開、提肌校正、三項開眼角(開內眼角、開外眼角、眼尾下至)...
切開、提肌矯正、上眼瞼、眼窩脂肪再配置
切開、提肌矯正、二項開眼角(開內眼角、開上眼角)、眼下脂肪重新排列、ROOF脂肪切除...
切開、提肌矯正、兩項開眼角(開內眼角、開上眼角)
切開、提肌矯正、兩項開眼角(開前眼角、開上眼角)、ROOF脂肪切除...
切開、提肌矯正、四項開眼角(內開眼角、上開眼角、外開眼角、眼瞼下至)、ROOF脂肪切除...
切開、提肌矯正、四項開眼角(前開眼角、上開眼角、後開眼角、眼尾下至)...
切開、提肌矯正、眼底脂肪再配置、開後眼角
切開、提肌矯正、開內眼角、ROOF脂肪切除
切開、提肌矯正、開內眼角、瞼內翻
切開、提肌矯正、雙向開眼角(開後眼角、眼尾下至)、眼窩脂肪重新配置...
切開、眼下脂肪重新排列、ROOF脂肪切除
切開、眼型矯正
切開、眼型矯正、兩項開眼角(開前眼角、開上眼角)、鼻子、矽膠、鼻尖(鼻中隔)、縮鼻翼、軟骨縫合...
切開、眼型矯正、眼底脂肪重新排列
切開、眼型矯正、眼窩脂肪重置、眼底脂肪重置...
切開、眼型矯正、開內眼角
切開、眼型矯正、開內眼角、下至
切開、眼型矯正、開眼角、鼻子、3D假體、鼻尖(鼻中隔)、駝峰鼻矯正...
切開、開上眼角
切開、開內眼角
切開、開內眼角、ROOF 脂肪切除、外側固定手術
切開、開內眼角、ROOF脂肪切除
切開(3次,切除)、提肌矯正、ROOF脂肪切除、雙眼皮降窄...
切開(二次手術)、提肌(眼形矯正)、兩項開眼角(開內眼角、開上眼角)...
切開(切除, 4次), 提肌糾正, 外眼角修復, 下至(重修)...
切開(切除,3次),降低線條
切開(切除,3次)、提肌矯正、眼角修復、降低雙眼皮線條...
切開(切除,第4次重修)、提肌(眼型矯正)、雙向開眼角(開內眼角、下至)、降雙眼皮線...
切開(切除、重修)、提肌矯正、前眼角修復、雙向開眼角(後切口、下至)、雙眼皮降窄...
切開(切除、重修)、提肌糾正、雙眼皮改窄
切開(切除、重修)+ 開眼頭 + 雙眼皮降寬
切開(切除、重修3次)、提肌、降窄
切開(切除)、提肌、開內眼角(重修)、雙眼皮改窄...
切開(切除)、提肌矯正、GL下至(開後眼角、眼下至)...
切開(切除)、提肌矯正、ROOF脂肪移除、雙眼皮降窄...
切開(切除)、提肌糾正、開上眼角、降低雙眼皮線
切開(切除)、提肌糾正、降寬
切開(眼形矯正)、開內眼角
切開(重)+下眼瞼
切開(重修、雙線法)、提肌、降摺痕
切開(重修)
切開(重修)、提肌、開內眼角(重修)
切開(重修)、提肌(眼型矯正)、雙向開眼角(開後眼角、眼尾下至)...
切開(重修)、提肌(眼形矯正)、開內眼角、瞼內翻、ROOF脂肪切除...
切開(重修)、提肌手術、開內眼角、ROOF脂肪切除
切開(重修)、提肌矯正、眼窩脂肪重新排列
切開(重修)、眼型矯正
切開(重修)、眼形矯正、瞼內翻、ROOF 脂肪切除...
切開(重修)、眼窩脂肪重置
切開(重修)、降線條
切開(重修)+ 眼型矯正
切開(重修3次)、提肌、眼下脂肪重置、ROOF脂肪切除...
切開(重修3次)、提肌手術、開後眼角、眼下脂肪重新配置...
切開(重修3次)、眼型矯正、內眥修復
切開(重修3次)、眼形矯正、雙項開眼角(開後眼角、下至)、眼下脂肪重新配置...
切開(重修3次)、降線
切開(重修5次)、提肌矯正、開內眼角、眼窩脂肪重置...
切開(重做)、眼型矯正、開後眼角
切開(重做)、眼形矯正、開內眼角
切開(雙眼皮降窄)、提肌、內眼角修復
切開(雙線修正,2次)、提肌矯正、開內眼角、眼瞼內翻、降低雙眼皮線條...
切開(雙線法、第4次修復)、眼瞼退縮術(過度矯正修復)、降低雙眼皮線...
切開(雙線法、重修)、眼型矯正、雙眼皮改窄
切開(雙線法)、降低線條
切開V臉拉提
切開V臉拉提 (SMAS) + 迷你拉提 (SMAS) + AccuSculpt (下顎線)
切開V臉拉提+AccuSculpt激光溶脂
切開V臉拉提+AccuSculpt雷射溶脂
切開式V臉拉提 (SMAS) + MINT埋線拉提
切開式提眼肌、眼底脂肪重新排列、前額拉皮
切開式提眼肌修復手術,上眼角手術
切開式提眼肌修復手術,前+上開眼角
切開式提眼肌修復手術,爆米花開眼角
切開式提眼肌修復手術,眼窩脂肪移植
切開式提眼肌修復手術,開眼頭
切開式提眼肌修復手術、下至手術、上眼瞼脂肪移植
切開式提眼肌修復手術、提眉術
切開式提眼肌修復術+開上眼角+眼尾下至+開外眼角修復術
切開式提眼肌手術 + 開內眼角
切開式提眼肌手術,上開眼角
切開式提眼肌手術,提眉術
切開式提眼肌手術,眼下脂肪重置
切開式提眼肌手術、開內眼角、開上眼角
切開式提眼肌手術、開內眼角、開上眼角、眼下脂肪重新排列
切開式提眼肌手術、開後眼角、眼尾下至、提眉術
切開式提眼肌校正重修+開後眼角重修+下至重修
切開式提眼肌矯正重修+開後眼角+眼尾下至
切開式提眼肌重修 + 開內眼角
切開式提眼肌重修手術,上眥整形
切開式提眼肌重修手術,雙眼皮降改
切開式提肌
切開式提肌 + 眼睛重修
切開式提肌手術 提眉術
切開式提肌手術、上開眼角、開後眼角、眼尾下至
切開式提肌校正修復、上眼角開大、內眼角修復
切開式提肌校正重修、上眥整形
切開式提肌校正重修、雙眼皮線條改低、上眼瞼脂肪移植、眼下脂肪重置、眼下脂肪移植
切開式提肌糾正修復+開上眼角+開後眼角+眼尾下至
切開式提肌重修
切開式提肌重修 + 上開
切開式眼型矯正 開內眼角 開上眼角
切開式雙眼皮
切開式雙眼皮 開上眼角
切開式雙眼皮,切開式提眼肌手術
切開式雙眼皮,切開式眼型矯正,開內眼角,開外眼角,眼下至
切開式雙眼皮,提肌矯正,上瞼提肌矯正
切開式雙眼皮,眼皮脂肪移除
切開式雙眼皮、45度前上開眼角、眼皮脂肪移除
切開式雙眼皮、上瞼脂肪移植
切開式雙眼皮、上開眼角、眼下脂肪再配置
切開式雙眼皮、切開式提眼瞼肌、開內眼角、眼尾下至
切開式雙眼皮、切開式眼型矯正、開內眼角
切開式雙眼皮、提眉術
切開式雙眼皮、提眼瞼肌手術、45度前上開眼頭
切開式雙眼皮、提眼肌手術、眼下脂肪重新配置
切開式雙眼皮、提肌手術、45度前上開眼角
切開式雙眼皮、提肌手術、眼窩脂肪移除
切開式雙眼皮、提肌手術、開外眼角
切開式雙眼皮、眼型矯正(大小眼矯正)、眼底脂肪再配置
切開式雙眼皮、眼窩脂肪移除
切開式雙眼皮、開上眼角
切開式雙眼皮、開內眼角、開上眼角
切開式雙眼皮、開內眼角、開外眼角、眼皮抽脂
切開式雙眼皮(二次眼窩凹陷矯正)、上眼瞼脂肪移植、提肌手術
切開式雙眼皮(取脂)、提肌手術
切開式雙眼皮(重修_凹陷眼矯正)、提肌矯正,
切開式雙眼皮(重修_大小眼、臘腸眼矯正),提肌矯正
切開式雙眼皮(重修_眼窩凹陷矯正),提肌矯正,上眼瞼脂肪移植
切開式雙眼皮(重修_降低線條)
切開式雙眼皮(重修_降寬、雙線法)
切開式雙眼皮(重修_降窄)、提肌矯正
切開式雙眼皮(重修、降低寬度)、提肌矯正、眼底脂肪重新配置
切開式雙眼皮(重修:大小眼、臘腸眼矯正)
切開式雙眼皮(重修), 脂肪移位
切開式雙眼皮(重修)、提眼肌手術
切開式雙眼皮(重修)、提肌矯正、上切、後下切
切開式雙眼皮(重修)、提肌矯正、開眼角
切開式雙眼皮(重修)、眼形矯正
切開式雙眼皮(重修)、眼窩脂肪移植
切開式雙眼皮(重修臘腸眼矯正)
切開式雙眼皮(重修臘腸線、不對稱矯正)
切開式雙眼皮重修,降低線條
切開式雙眼皮重修、開後眼角、眼瞼下至
切開式雙眼皮重修、雙眼皮降寬、眼瞼下至
切開式雙眼皮重修(降低線條)
切開式雙眼皮開上眥
切開提眼肌+開內眼角+駝峰鼻+蒜頭鼻矯正
切開提眼肌+開後眼角+眼下至
切開提肌修復手術、雙眼皮改窄、內眼角修復
切開提肌手術
切開提肌矯正重修
切開法提肌矯正重修手術、雙眼皮改窄、開內眼角、開上眼角
切開法重修,上提
切開法重修,上開重修
切開法雙眼皮、上開眼角
切開法雙眼皮、眼型矯正
切開法雙眼皮(重修—降低線條)、提肌矯正
切開法雙眼皮(重修)
切開法雙眼皮(重修)、提眼肌手術、上眼瞼脂肪移植
切開法雙眼皮重修、內眼角修復、上眼角切開
切開眼型矯正修復+開內眼角修復+開外眼角+眼尾下至
切開重修,降雙眼皮線
切開重修、上開、眼底脂肪重置
切開重修、眼底脂肪重置
切開重修手術
切開重修手術,提眉術
切開重修手術、眼下脂肪重新配置、提眉術
切開雙眼皮
切開雙眼皮 + 開眼頭
切開雙眼皮 開上眼角
切開雙眼皮 開內眼角 開上眼角
切開雙眼皮,45度開內上眼角
切開雙眼皮,眼底脂肪重置
切開雙眼皮、上提開眼角、提眉術
切開雙眼皮、上開眼角
切開雙眼皮、切開眼型矯正、開後眼角、眼尾下至
切開雙眼皮、提肌手術、開內眼角、開上眼角
切開雙眼皮、提肌矯正、內眼角修復
切開雙眼皮、開內眼角
切開雙眼皮、開內眼角、開外眼角、眼瞼下至
切開雙眼皮(重修)、上提
切開雙眼皮重修
切開雙眼皮重修,降窄線條
切開雙眼皮重修+提肌+開內眼角
切開鼻翼縮小
初次隆鼻
前頰抽脂、下顎線、雙下巴埋線拉提
副乳抽脂
割雙眼皮、提眼肌手術
割雙眼皮、提眼肌手術、開眼頭、眼窩脂肪移除
功能性隆鼻
功能性鼻整形、蒜頭鼻、駝峰鼻、長鼻
去眼袋、雙效下眼瞼手術、蘋果肌脂肪移植、上眼瞼脂肪移植
唇部不對稱矯正(玻尿酸 + 肉毒桿菌)
唇部填充
唇部填充、人中縮短(內側、外側)、提嘴角手術
唾液腺肉毒
喬雅登 Volift
喬雅露 豐盈
單眼皮切開式眼型矯正,眼皮脂肪移除
嘴角上揚手術+唇部填充
嘴角整形
嘴角玻尿酸
圓盤型隆乳
垂直迷你拉提
垂直迷你拉提+Elasticum
垂直迷你拉皮+Accu提升+MINT線雕
埋沒
埋線, 提肌, ROOF脂肪切除
埋線, 開上眼角
埋線、GL眼尾下至(開後眼角、眼下至)、眼底脂肪重置...
埋線、GL眼底整形(開後眼角、眼瞼下至)
埋線、ROOF脂肪移除
埋線、三項開眼角(開內眼角、開外眼角、眼尾下至)、眼底脂肪重新排列...
埋線、四項開眼角(開內眼角、開上眼角、開外眼角、眼尾下至)、瞼內翻...
埋線、提肌
埋線、提肌、三項開眼角(開內眼角、開外眼角、眼尾下至)...
埋線、提肌、兩項開眼角(開內眼角、提肌)
埋線、提肌、兩項開眼角(開內眼角、開上眼角)、ROOF脂肪切除...
埋線、提肌、開上眼角、ROOF脂肪切除
埋線、提肌、開內眼角
埋線、提肌、開內眼角、眼瞼內翻、ROOF脂肪切除...
埋線、提肌、開內眼角軸線矯正
埋線、提肌矯正、兩項開眼角(開內眼角、開上眼角)
埋線、眼型矯正、左側開內眼角
埋線、眼型矯正、眼瞼內翻、切口延長、ROOF脂肪切除...
埋線、眼型矯正、開上眼角
埋線、脂肪移植(前顴骨)
埋線、開上眼角
埋線、開內眼角(軸線矯正)
埋線、開眼頭
埋線、開眼頭、鼻子、矽膠、鼻尖(鼻中隔)、歪鼻矯正...
埋線(眼型矯正)、開眼頭
埋線(重修)、提肌、下至、外眥修復
埋線(重修)、提肌(眼型矯正)、上切
埋線(重修)、眼型矯正
埋線(重修)、開上眼角
埋線(重做)、提肌、ROOF脂肪切除
埋線(重做)、開內眼角、眼下脂肪重新配置、ROOF脂肪切除...
埋線+眉下提眉+下眼瞼
埋線+開內眼角+開外眼角+下至
埋線+開內眼角+開外眼角+眼尾下至
埋線拉提
埋線拉提、埋線隆鼻
埋線法 + 開內眼角
埋線法+下眼瞼
埋線法+眉下提眉
埋線法+開上眼角
埋線法+開上眼角+開後眼角及下至
埋線法+開前眼角+開後眼角+眼瞼下至
埋線法+開後眼角+眼下至
埋線重修+開上眼角+開後眼角+眼瞼下至
埋線雙眼皮,開眼頭,非切開眼型矯正
基本隆鼻
基本隆鼻 (鼻樑 + 鼻尖)
基礎隆鼻+短鼻矯正+蒜頭鼻矯正+鼻翼縮小
基礎隆鼻+駝峰鼻+蒜頭鼻整形
塑形臉部輪廓[輪廓三項]
塑形臉部輪廓[輪廓三項]+AccuSculpt+全臉脂肪移植
塑形面部輪廓[下顎角] + AccuSculpt 激光溶脂
塑形面部輪廓[顴骨+下巴]
塑形面部輪廓[顴骨+下頜角]
填充(眉上、蘋果肌、法令紋、下巴、嘴唇、鼻樑、額頭)
大小眼矯正 + 上眥整形 + 切開法雙眼皮重修
大腿抽脂
大腿整形
大露營
太陽穴填充
女性切開式植髮 3000根
女性植髮 切開 1000根
女性植髮 切開 2000根
女性植髮 切開 2500根
女性植髮 切開式 1500根
女性植髮 非切開 2000根
女性植髮 非切開 3500根
女性非切開植髮 3000根
女性髮際線 1000根 / 2週後
女性髮際線 1500根 / 2週後
女性髮際線 2000根 / 2週後
女性髮際線 2500根 / 1個月後
女性髮際線 2500根 / 兩週後
女性髮際線 3000根 / 1個月後
女性髮際線 3000根 / 2週後
女性髮際線切開 2500根
女性髮際線切開1500根
女性髮際線切開3000根
女性髮際線非切開2000根
娜琦麗水滴型隆乳(重修)
安多泰、維納斯雷射
客製化假體隆鼻
客製化假體隆鼻、鷹鉤鼻矯正
小丑
小腿肉毒
少年額頭拉皮
後眼角下至
後眼角修復
後眼角修復、開內眼角(二次手術)
微創SMAS拉皮
微創拉皮手術 (MACS拉皮)
愛拉斯提
手臂抽脂
手臂整形
手術前/後
抽脂
抽脂 (嘴邊肉)
抽脂(口內脂肪), 臉部拉皮
抽脂(手臂)
拉提
拉皮 + AccuSculpt
拉皮+凸嘴+人中縮短
拉皮手術
拉皮手術、下眼瞼手術、脂肪移植(眼下)
拉皮手術、眉下提眉、下眼瞼手術、全臉脂肪移植(包含眼上、眼下)
拉皮手術(二次手術)、前額拉皮、口內取脂、下顎肌肉縫合...
拉皮手術+AccuLift雷射提拉(法令紋上方、下顎線)+脂肪移植(法令紋、眼下)
拉皮手術+法令紋脂肪填充+Accu雷射(深層頰脂墊)
拉皮手術+脂肪移植
捐贈肋軟骨、蒜頭鼻、下鼻甲、截骨
提乳
提乳手術、縮乳手術、乳暈縮小
提乳手術、隆乳手術
提乳手術、隆乳手術、副乳切除
提眉
提眉, 自然黏連
提眉術
提眉術,眼窩脂肪移植
提眉術、中面部拉皮
提眉術、眼袋脂肪位移
提眉術、自然黏連、眼瞼脂肪去除
提眉術、雙效下眼瞼、眼底脂肪移植
提眼肌(切開)重修手術、開後眼角、下至
提眼肌手術 (切開)
提眼肌手術 (非切開)
提眼肌手術(切開)、開內眼角
提眼肌手術(切開)、開外眼角、眼尾下至、眼底脂肪重置
提眼肌手術(切開)、開後眼角
提眼肌手術(切開)、雙眼皮線條改低
提眼肌手術(切開法)、開內眼角、額頭拉提(埋線固定)
提眼肌手術(切開法)、開眼尾、眼下脂肪重置
提眼肌手術(部分切開)、開內眼角、鼻子(鼻樑、鼻尖)、短鼻、異體肋軟骨
提眼肌手術(部分切開)、開眼頭
提眼肌手術(非切開)、眼下脂肪再配置、脂肪移植(眼下)
提眼肌手術(非切開)、鼻部(鼻樑、鼻尖)重修手術、維納斯雷射
提眼肌校正(切開法)重修、開內眼角
提眼肌校正(非切開)重修、開後眼角重修、眼尾下至
提肌手術 (部分切開)
提肌手術(切開)、開後眼角、下至
提肌手術(部分切開)、開內眼角、眼部脂肪去除
提肌手術(部分切開)、開內眼角、開外眼角、眼尾下至
提肌手術(非切開)、眼尾下至
提肌手術(非切開)、開內眼角、眼底脂肪重新配置
提肌手術(非切開)、開內眼角、開外眼角、眼尾下至
提肌手術(非切開)、開眼頭
提肌手術(非切開)、額頭拉提(安多泰)
提肌矯正(切開)、開內眼角、開外眼角、眼尾下至、眼底脂肪重新配置、鼻部(鼻樑、鼻尖)、下頜角、顴骨、前頷、雙顎、凸嘴、全臉脂肪移植、維納斯雷射(臉頰、下巴底)
提肌矯正(切開)、開後眼角、下至、鼻部(鼻樑、鼻尖)修復術、鼻骨縮小、鼻翼縮小、下頜角、顴骨、下巴、皮質骨切除、貴族手術(鼻基底假體)、全臉脂肪移植、維納斯雷射(臉頰、下顎線)
提肌矯正(部分切開)重修、隆鼻(鼻樑、鼻尖)重修、蒜頭鼻、顴骨、脂肪移植(額頭、鼻子)
提肌矯正(非切開)、開內眼角、鼻部(鼻樑、鼻尖)、駝峰鼻、切骨、下頜角、顴骨、前顎
提肌重修手術 (切開)
提臀拉提 (Epiticon + 抽脂)
提臀拉提(Epiticon+抽脂+脂肪移植)
提臀拉提(艾皮提康 + 抽脂 + 玻尿酸)
提臀拉提(艾皮提康+抽脂+脂肪移植+提臀填充)
提臀拉提(艾皮提康+抽脂+脂肪移植+玻尿酸)
攣縮鼻整形(鼻樑真皮移植)
整形手術
斜方肌肉毒
晶亮瓷 (法令紋 + 臉頰填充)
曼陀 Xtra 絨毛面假體更換 6個月
曼陀 Xtra_形狀不滿意_第5個月
曼陀光滑_3個月
曼陀光滑_乳房重建_第6個月
曼陀光滑_莢膜攣縮_第1個月
曼陀光滑面_1個月
曼陀光滑面_2個月
曼陀光滑面_6個月
曼陀女王波_1週年
曼陀女王波_第2個月
曼陀女王波_第9個月
曼陀隆乳
曼陀隆乳+副乳切除
極線音波 + 豐唇
極線音波拉提
歪鼻、功能性鼻整形、縮鼻翼
歪鼻矯正術,駝峰鼻,隆鼻術(鼻樑+鼻尖)
水滴型隆乳 (255cc)
水滴型隆乳 (280cc)
水滴型隆乳 (375cc)
水滴型隆乳 (Polytech 240cc)
水滴型隆乳 (Polytech 260cc)
水滴型隆乳 (Polytech 275cc)
水滴型隆乳 (Polytech 300cc)
水滴型隆乳 (Polytech 315cc)
水滴型隆乳 (Polytech 350cc)
水滴型隆乳 (Silimed 275cc)
水滴型隆乳 (曼陀 270cc)
水滴型隆乳 (曼陀 295cc)
水滴型隆乳 (曼陀 305cc)
水滴型隆乳 (賽彬 325cc)
沃拿美
沃紐默、Shrink Universe
法令紋+嘴邊肉拉提 (瑞得喜)
法令紋拉提 (ONDA)
法令紋拉提 (晶亮瓷)
法令紋玻尿酸
法令紋脂肪移植
海芙音波, Onda
海芙音波、InMode FX+FORMA
海芙音波、InMode 鑽石電波
清晰
無假體、功能性鼻整形、蒜頭鼻、駝峰鼻、長鼻
無假體、鼻尖(鼻中隔、耳軟骨)、縮鼻翼、鼻孔緣下降...
無假體隆鼻
無假體隆鼻,寬鼻矯正
無假體隆鼻,寬鼻矯正(切骨)
無假體隆鼻,駝峰鼻矯正
無假體隆鼻,鼻骨切開術,縮鼻翼
無假體隆鼻、寬鼻矯正(截骨術)
無假體隆鼻、截骨、駝峰鼻矯正
無假體隆鼻、縮鼻翼
無假體隆鼻、蒜頭鼻、駝峰鼻、歪鼻
無假體隆鼻、蒜頭鼻、駝峰鼻、縮鼻翼
無假體隆鼻、蒜頭鼻、鷹鉤鼻、長鼻
無假體隆鼻、蒜頭鼻矯正、縮鼻翼、寬鼻矯正、截骨
無假體隆鼻、蒜頭鼻矯正、駝峰鼻矯正
無假體隆鼻、蒜頭鼻矯正、鼻翼縮小
無假體隆鼻、駝峰鼻矯正、短鼻矯正
無假體隆鼻、駝峰鼻矯正、鼻中柱矯正、鼻翼縮小、鼻翼上提
無假體隆鼻、駝峰鼻矯正、鼻骨切開術
無假體隆鼻、鷹鉤鼻、長鼻、龍鼻
無假體隆鼻(蒜頭鼻、歪鼻、駝峰鼻、縮鼻翼)
無假體隆鼻(蒜頭鼻、長鼻、駝峰鼻、歪鼻、自體肋軟骨)
無假體隆鼻(蒜頭鼻、駝峰鼻、長鼻)
無假體鼻尖整形、短鼻、歪鼻
無假體鼻尖整形、蒜頭鼻、短鼻
無假體鼻尖整形、蒜頭鼻、縮鼻翼
無植入物隆鼻,短鼻矯正,蒜頭鼻矯正
無植入物隆鼻、蒜頭鼻、駝峰鼻、長鼻、鼻唇角
無植入物隆鼻、蒜頭鼻矯正、寬鼻矯正(截骨)
無植入物隆鼻、蒜頭鼻矯正、駝峰鼻矯正、功能性隆鼻
無需矯正 微笑自拍 雙顎+輪廓三項+非切開眼型矯正+鼻整形+迷你拉提
熟齡前額拉皮、眉下提眉、自然黏連
玻尿酸(額頭+法令紋+臉頰)+ 麗珠蘭 2cc
瑕疵護理(雷射)、麗珠蘭
瑞得喜
男士整形
男士眼部整形 + 開眼頭
男士眼部整形 + 非切開眼型矯正
男士眼部整形 切開+提肌+開內眼角
男士眼部整形 切開+提肌矯正+眼底脂肪重新排列
男士眼部整形 切開式提肌矯正+開內眼角+開外眼角
男士眼部整形 切開式提肌糾正重修手術+開內眼角
男士眼部整形 切開式眼型矯正+眼部修復手術
男士眼部整形 切開法[重修]+提肌糾正+眼底脂肪重新配置
男士眼部整形 切開法+提肌矯正
男士眼部整形 切開法+提肌矯正+開內眼角
男士眼部整形 切開法+提肌矯正+開眼角
男士眼部整形 切開法+提肌糾正+眼部修復手術
男士眼部整形 切開法+眼型矯正+開眼角
男士眼部整形 切開法眼型矯正+開內眼角
男士眼部整形 切開眼型矯正+開後眼角+下至
男士眼部整形 切開眼型矯正修復+內眼角修復
男士眼部整形 埋線[重修]+雙向開眼角
男士眼部整形 埋線+提眉
男士眼部整形 埋線+提眉術
男士眼部整形 埋線+提肌+開內眼角
男士眼部整形 埋線+眼型矯正
男士眼部整形 埋線提肌+雙向開眼角
男士眼部整形 埋線法+提肌糾正+開內眼角
男士眼部整形 埋線法+提肌糾正+雙向開眼角
男士眼部整形 埋線法+眼型矯正
男士眼部整形 埋線法+眼型矯正+開內眼角+開外眼角
男士眼部整形 埋線法+眼部修復手術
男士眼部整形 埋線眼型矯正
男士眼部整形 提肌矯正+開內眼角+開外眼角
男士眼部整形 眉下提眉+開後眼角+眼瞼下至
男士眼部整形 眉下提眉術
男士眼部整形 眼型矯正
男士眼部整形 眼底脂肪重新配置
男士眼部整形 眼部修復手術+切開+提肌矯正+開內眼角
男士眼部整形 非切開提眼瞼肌手術+開後眼角
男士眼部整形 非切開提肌+開內眼角
男士眼部整形 非切開提肌矯正
男士眼部整形 非切開提肌矯正+後眼角+下至
男士眼部整形 非切開提肌矯正+眼底脂肪重新配置
男士眼部整形 非切開提肌矯正+開前眼角+眼底脂肪重新配置
男士眼部整形 非切開提肌矯正+開前眼角+開後眼角
男士眼部整形 非切開提肌矯正+開後眼角+眼尾下至
男士眼部整形 非切開眼型矯正+開內眼角+開外眼角+眼尾下至
男士眼部整形 非切開眼型矯正+開前眼角+雙向開眼角
男士眼部整形 非切開眼型矯正+開後眼角
男士眼部整形 鼻部整形
男士眼部整形+切開式提肌矯正+開內眼角
男士眼部整形+非切開提肌
男士臉部輪廓 下顎角+顴骨
男士臉部輪廓 塑形臉部輪廓[輪廓三項]
男士臉部輪廓 塑形臉部輪廓[顴骨+下顎角]
男士臉部輪廓 塑形輪廓整形+下巴前移術
男士蒜頭鼻整形
男士輪廓三項+男士眼部整形
男士輪廓整形
男士部分切開眼型矯正
男士隆鼻
男士隆鼻 低鼻樑
男士隆鼻 塌鼻+歪鼻+鼻尖整形
男士隆鼻 塌鼻+蒜頭鼻
男士隆鼻 塌鼻+蒜頭鼻+歪鼻
男士隆鼻 塌鼻+駝峰鼻
男士隆鼻 寬鼻樑+蒜頭鼻
男士隆鼻 寬鼻樑+鼻炎美容隆鼻
男士隆鼻 寬鼻樑+鼻翼手術
男士隆鼻 截骨 駝峰鼻
男士隆鼻 敲骨 蒜頭鼻
男士隆鼻 敲鼻骨 鼻炎鼻整形 異體肋軟骨
男士隆鼻 歪鼻+寬鼻樑
男士隆鼻 歪鼻+重修
男士隆鼻 歪鼻+駝峰鼻
男士隆鼻 短鼻 歪鼻
男士隆鼻 短鼻+縮鼻翼
男士隆鼻 短鼻+鼻修復
男士隆鼻 短鼻矯正+蒜頭鼻矯正+縮鼻翼
男士隆鼻 矮鼻
男士隆鼻 自體軟骨隆鼻
男士隆鼻 蒜頭鼻+寬鼻樑
男士隆鼻 蒜頭鼻+鼻尖
男士隆鼻 蒜頭鼻+鼻炎美容鼻
男士隆鼻 蒜頭鼻+鼻炎美容鼻整形
男士隆鼻 蒜頭鼻矯正
男士隆鼻 駝峰鼻 + 寬鼻樑
男士隆鼻 駝峰鼻+歪鼻
男士隆鼻 駝峰鼻+歪鼻+寬鼻樑
男士隆鼻 駝峰鼻+歪鼻+蒜頭鼻+寬鼻樑
男士隆鼻 駝峰鼻+箭頭鼻+歪鼻
男士隆鼻 駝峰鼻+縮鼻翼
男士隆鼻 駝峰鼻+蒜頭鼻
男士隆鼻 駝峰鼻+蒜頭鼻矯正
男士隆鼻 駝峰鼻+蒜頭鼻矯正+短鼻矯正
男士隆鼻 駝峰鼻+鼻炎美容隆鼻
男士隆鼻 駝峰鼻截骨
男士隆鼻 鼻修復 歪鼻 異體肋軟骨
男士隆鼻 鼻修復+短鼻
男士隆鼻 鼻修復+蒜頭鼻+短鼻
男士隆鼻 鼻修復手術
男士隆鼻 鼻修復手術 歪鼻
男士隆鼻 鼻修復手術 短鼻 蒜頭鼻
男士隆鼻 鼻修復手術 蒜頭鼻 短鼻
男士隆鼻 鼻修復手術+歪鼻
男士隆鼻 鼻修復手術+縮鼻翼+歪鼻矯正
男士隆鼻 鼻尖塑形+蒜頭鼻
男士隆鼻 鼻尖雕刻術
男士隆鼻 鼻樑+鼻翼縮小術
男士隆鼻 鼻炎美容隆鼻
男士隆鼻 鼻炎美容鼻
男士雙顎手術 Smile雙顎+塑形面部輪廓
男士雙顎手術 微笑雙顎手術
男士雙顎手術+男士眼部整形+男士鼻部整形
男士非切開眼型矯正重修
男士面部輪廓 AccuSculpt+瘦臉針
男士面部輪廓 Turning 顴骨縮小
男士面部輪廓 下頜角縮小+顴骨縮小+下巴整形(輪廓三件套)
男士面部輪廓 塑形輪廓[顴骨+下頜角+下巴前移]+男士鼻整形
男士面部輪廓 塑形面部輪廓
男士面部輪廓 塑形面部輪廓[下巴+V型截骨]
男士面部輪廓 塑形面部輪廓[下頜角+下巴]
男士面部輪廓 塑形面部輪廓[下顎角]
男士面部輪廓 塑形面部輪廓[前顎]
男士面部輪廓 塑形面部輪廓[輪廓三項]+嚼肌縮小術
男士面部輪廓 塑形面部輪廓[顴骨]
男士面部輪廓 塑形面部輪廓+AccuSculpt
男士面部輪廓 塑形面部輪廓+下巴
男士面部輪廓 塑形面部輪廓+下頜角
男士面部輪廓 塑形面部輪廓+男士鼻整形
男士面部輪廓 塑形面部輪廓+眼部整形
男士面部輪廓 塑形面部輪廓+眼部整形+鼻部整形
男士面部輪廓 塑形面部輪廓+眼部整形+鼻部整形+額頭整形
男士面部輪廓 輪廓2項 [塑形V-line + 下巴延長]
男士面部輪廓 長曲線下頜角+下巴前移術+Elasticum彈力線+AccuSculpt鐳射溶脂
男士面部輪廓 長曲線下頜角+下巴整形
男士面部輪廓 顴骨+AccuLift提升+鼻修復+短鼻+肉毒桿菌
男士面部輪廓 顴骨縮小+下頜角縮小+下巴縮小
男士面部輪廓塑形 面部輪廓+旋轉式顴骨縮小+下巴前移
男士駝峰鼻整形
男士髮際線 1500根 / 1個月後
男士髮際線 3000根 / 1個月後
男士髮際線 3500根 / 兩週後
男士鷹鉤鼻整形
男士鼻整形 塌鼻+蒜頭鼻+短鼻+縮鼻翼
男士鼻整形 塌鼻+長鼻/箭頭鼻+寬鼻樑
男士鼻整形 塌鼻+駝峰鼻+縮鼻翼
男士鼻整形 塌鼻+駝峰鼻+蒜頭鼻
男士鼻整形 塌鼻+駝峰鼻+鼻尖整形+鼻翼手術
男士鼻整形 寬鼻+駝峰鼻
男士鼻整形 寬鼻樑+縮鼻翼手術
男士鼻整形 截骨 歪鼻
男士鼻整形 截骨 短鼻 縮鼻翼 鼻中柱提升 鼻炎美容鼻
男士鼻整形 歪鼻
男士鼻整形 歪鼻 駝峰鼻
男士鼻整形 歪鼻 鼻尖塑形
男士鼻整形 歪鼻+短鼻
男士鼻整形 歪鼻矯正+駝峰鼻
男士鼻整形 短鼻
男士鼻整形 短鼻/朝天鼻+歪鼻
男士鼻整形 短鼻矯正+蒜頭鼻矯正+駝峰鼻
男士鼻整形 縮鼻翼 寬鼻樑 鼻炎美容鼻整形
男士鼻整形 縮鼻翼+寬鼻樑
男士鼻整形 縮鼻翼+寬鼻樑+鼻炎美容隆鼻
男士鼻整形 縮鼻翼手術
男士鼻整形 蒜頭鼻 截骨
男士鼻整形 蒜頭鼻+寬鼻樑+鼻翼手術+鼻炎美容隆鼻
男士鼻整形 蒜頭鼻+歪鼻
男士鼻整形 蒜頭鼻+歪鼻+寬鼻樑
男士鼻整形 蒜頭鼻+短鼻+鼻翼縮小術
男士鼻整形 蒜頭鼻+縮鼻翼+短鼻
男士鼻整形 蒜頭鼻矯正+短鼻矯正
男士鼻整形 駝峰鼻+寬鼻樑
男士鼻整形 駝峰鼻+寬鼻樑+歪鼻
男士鼻整形 駝峰鼻+歪鼻+寬鼻
男士鼻整形 駝峰鼻+歪鼻+長鼻
男士鼻整形 駝峰鼻+蒜頭鼻+寬鼻樑
男士鼻整形 駝峰鼻+蒜頭鼻+短鼻
男士鼻整形 駝峰鼻+蒜頭鼻矯正+鼻炎美容隆鼻
男士鼻整形 駝峰鼻+長鼻+寬鼻樑
男士鼻整形 鷹鉤鼻+長鼻
男士鼻整形 鼻修復+短鼻+縮鼻翼+鼻炎美容鼻整形
男士鼻整形 鼻修復手術+鼻炎美容鼻整形
男士鼻整形 鼻炎美容鼻+短鼻矯正
男士鼻整形 鼻頭整形+鼻翼縮小
男性凸嘴矯正+顴骨縮小+下巴手術+男性眼部整形
男性切開式雙眼皮
男性女乳症
男性女乳症 副乳
男性女乳症 副乳 乳頭縮小
男性女乳症 副乳 側胸抽脂
男性女乳症乳頭縮小
男性植髮 切開 2000根
男性植髮 切開 2500根
男性植髮 切開法 3000根
男性植髮 非切開 2500根
男性植髮 非切開 3000根_頭頂
男性植髮 非切開,Line-cut 3500根
男性眼部整形 切開式眼型矯正
男性眼部整形 切開法+眼部修復手術
男性眼部整形 埋線法
男性眼部整形 開內眼角
男性臉部輪廓 下巴前移術
男性臉部輪廓 塑形臉部輪廓[下頜角+顴骨]
男性臉部輪廓 塑形臉部輪廓+旋轉顴骨縮小
男性臉部輪廓 輪廓三項
男性臉部輪廓 顴骨
男性蒜頭鼻整形手術
男性隆鼻 切骨
男性隆鼻 塌鼻+短鼻
男性隆鼻 塌鼻+短鼻+鷹鉤鼻
男性隆鼻 塌鼻+隆鼻重修
男性隆鼻 寬鼻樑+駝峰鼻
男性隆鼻 截骨+蒜頭鼻
男性隆鼻 敲鼻骨 蒜頭鼻 短鼻
男性隆鼻 敲鼻骨 蒜頭鼻 耳軟骨
男性隆鼻 敲鼻骨 駝峰鼻 縮鼻翼
男性隆鼻 歪鼻+隆鼻重修
男性隆鼻 短鼻 寬鼻樑 鼻炎美容隆鼻
男性隆鼻 短鼻+蒜頭鼻
男性隆鼻 蒜頭鼻+短鼻
男性隆鼻 蒜頭鼻+縮鼻翼
男性隆鼻 隆鼻重修 駝峰鼻 蒜頭鼻矯正
男性隆鼻 隆鼻重修+歪鼻矯正
男性隆鼻 鼻修復手術 短鼻 縮鼻翼
男性隆鼻 鼻尖整形 鼻翼縮小
男性隆鼻 鼻炎+敲鼻骨
男性隆鼻 鼻重修 異體肋軟骨
男性雙顎手術 微笑雙顎手術+Turning顴骨縮小+男性鼻整形+額頭整形
男性非切開植髮 1500根
男性非切開植髮 3000根
男性面部輪廓 下頜角縮小+下巴整形
男性面部輪廓 塑形面部輪廓[輪廓三項]
男性面部輪廓 長曲線下頜角+Turning顴骨縮小
男性面部輪廓+塑形面部輪廓[下頜角+顴骨]
男性面部輪廓長曲線下頜角手術
男性髮際線 1500根 / 2週後
男性髮際線 2000根 / 1個月後
男性髮際線 2500根 / 1個月後
男性髮際線 2500根 / 兩週後
男性髮際線 3000根 / 2週後
男性髮際線 非切開 2500根
男性髮際線 頭頂 2500根 / 2週後
男性髮際線非切開
男性髮際線非切開2000根
男性鼻整形 縮鼻翼
男性鼻整形 蒜頭鼻+縮鼻翼手術
男性鼻整形 鼻炎美容鼻 截骨
男性鼻整形 鼻炎鼻整形+短鼻矯正
男生埋線雙眼皮
男生眼部整形 + 切開眼型矯正
男生眼部整形 切開+提肌
男生眼部整形 切開式提肌矯正+開上眼角+開後眼角+眼尾下至
男生眼部整形 切開式眼型矯正+開後眼角
男生眼部整形 切開提肌+開內眼角
男生眼部整形 切開眼型矯正+開後眼角+眼尾下至
男生眼部整形 埋線+眼型矯正+開內眼角+開外眼角
男生眼部整形 埋線+開內眼角
男生眼部整形 埋線法 + 提肌糾正
男生眼部整形 埋線法[重修]+雙向開眼角
男生眼部整形 非切開提肌矯正+開內眼角+開外眼角+眼尾下至
男生眼部整形 非切開眼型矯正[重修]+雙向開眼角
男生眼部整形 非切開眼型矯正+開前眼角+開後眼角
男生眼部整形+切開式提肌手術
男生隆鼻 塌鼻+駝峰鼻+蒜頭鼻+鼻尖整形
男生隆鼻 寬鼻樑
男生隆鼻 短鼻+寬鼻樑
男生隆鼻 短鼻+寬鼻樑+隆鼻重修
男生隆鼻 短鼻+蒜頭鼻+隆鼻重修
男生隆鼻 蒜頭鼻+鼻樑
男生隆鼻 長鼻+寬鼻樑
男生隆鼻 鼻尖
男生雙眼皮降窄
男生雙顎手術+男生眼部整形
痘疤治療
瘦臉肉毒、下巴玻尿酸、提眉術
皮膚肉毒
眉下提拉、上眼瞼、下眼瞼、脂肪移植(眼底、蘋果肌)
眉下提拉、提肌矯正(非切開)、眼底脂肪重新排列
眉下提拉術、下眼瞼手術、自然黏連提肌矯正重修
眉下提拉術、前額提拉、眼袋脂肪重置
眉下提拉術+下眼瞼
眉下提眉
眉下提眉 + 埋線法
眉下提眉 + 眼下脂肪重置
眉下提眉、下眼瞼、額頭拉提(埋線固定)、肉毒桿菌(額頭、眼周)
眉下提眉、眼下脂肪移植
眉下提眉+下眼瞼
眉下提眉+埋線
眉下提眉術
眉下提眉術、眼下脂肪重置、前額拉皮
眉下提眉術、額頭拉皮、自然黏連
真皮固定雙眼皮、提肌手術、開內眼角、開上眼角
真皮粘連雙眼皮,45度前上開眼角
真皮粘連雙眼皮,上切
真皮粘連雙眼皮,眉下提拉
真皮粘連雙眼皮,眼型矯正
真皮粘連雙眼皮,開內眼角
真皮粘連雙眼皮、提肌手術、上瞼脂肪移植
真皮粘連雙眼皮、提肌手術、開內眼角
真皮粘連雙眼皮、提肌矯正、45度前上開眼角、轉角開眼角
真皮粘連雙眼皮、提肌矯正、開內眼角、眼底脂肪重新配置、駝峰鼻、長鼻、鼻唇角矯正、Peach 提升、面部脂肪移植
真皮粘連雙眼皮、提肌矯正、開內眼角、眼底脂肪重新配置、駝峰鼻、長鼻整形、旋轉顴骨縮小術、全臉脂肪移植、Peach 拉提
真皮粘連雙眼皮、提肌矯正、開內眼角、開外眼角、下至、蒜頭鼻、短鼻、截骨、鼻中柱矯正
真皮粘連雙眼皮、提肌矯正、開內眼角、開眼角、眼下脂肪重新排列、駝峰鼻、短鼻、截骨
真皮粘連雙眼皮、提肌矯正、開眼角
真皮粘連雙眼皮、眉下提拉、下眼瞼
真皮粘連雙眼皮、眼形矯正、大小眼矯正
真皮粘連雙眼皮、眼形矯正、開內眼角、開上眼角
真皮粘連雙眼皮、開眼角
真皮粘連雙眼皮、開眼角、提肌矯正
真皮粘連雙眼皮(修復), 開內眼角
真皮粘連雙眼皮(修復)、提肌矯正、開內眼角、開上眼角
真皮粘連雙眼皮(再次鬆脫矯正)
真皮粘連雙眼皮(重修)
真皮粘連雙眼皮(重修), 眼形矯正
真皮粘連雙眼皮(重修)、後眼角及下至
真皮粘連雙眼皮(重修)、開內眼角、眼底脂肪重新配置
真皮黏連,開眼角
真皮黏連雙眼皮
真皮黏連雙眼皮,開內眼角,開上眼角
真皮黏連雙眼皮、提眼肌手術、上眼瞼脂肪移植
真皮黏連雙眼皮、提肌手術、45度前上開眼角
真皮黏連雙眼皮、提肌手術、上瞼脂肪移植、眼下脂肪重新排列
真皮黏連雙眼皮、眉下提眉術、下眼瞼整形術
真皮黏連雙眼皮(重修)、轉角開眼角
眼下脂肪再配置、下頜角、顴骨、下巴、皮質骨切除、維納斯雷射
眼下脂肪移植
眼下脂肪重新排列,內眼角修復
眼下脂肪重新排列,脂肪移植
眼下脂肪重新排列,脂肪移植(眼下)
眼下脂肪重新排列,蘋果肌脂肪移植
眼下脂肪重新配置、脂肪移植(蘋果肌、法令紋)
眼下脂肪重新配置二次手術,前顴骨脂肪移植
眼下脂肪重置 眼下脂肪移植
眼下脂肪重置,眼下脂肪移植
眼下脂肪重置,非切開眼型矯正
眼下脂肪重置、全臉脂肪移植
眼下脂肪重置、切開式雙眼皮、提眉術
眼下脂肪重置、脂肪移植(眼下、蘋果肌)
眼下脂肪重置、蘋果肌脂肪移植
眼下脂肪重置、雙重下眼瞼手術、前顴骨脂肪移植、上眼瞼脂肪移植
眼下脂肪重置二次手術
眼型矯正
眼型矯正(切開)、開內眼角修復術、開外眼角、顴骨、下頜角、下巴、脂肪移植、全臉脂肪移植、維納斯雷射(下巴底)
眼型矯正(部分切開)、脂肪去除、開眼頭
眼型矯正(部分切開)(去除脂肪),開內眼角
眼型矯正(非切開)、眼底脂肪重置
眼尾下至(重修)、眼底脂肪再配置
眼底脂肪移除(TCA)
眼底脂肪重新排列 自然黏連
眼底脂肪重新排列、蘋果肌脂肪移植、迷你下眼瞼手術
眼底脂肪重新配置、顴骨縮小術、下巴縮小術、皮質骨切除術
眼底脂肪重置
眼底脂肪重置、提眉術
眼底脂肪重置、雙重下眼瞼
眼底脂肪重置、雙重下眼瞼、蘋果肌脂肪移植
眼形矯正(切開)、開內眼角、眼尾下至、開外眼角
眼形矯正(切開)、開內眼角、開外眼角
眼形矯正(切開)、開內眼角、開外眼角、眼瞼下至
眼形矯正(切開)重修手術、開內眼角、開外眼角、隆鼻(鼻樑、鼻尖)、縮鼻翼、顴骨、下巴、雙顎手術、埋線拉提、維納斯雷射(臉頰、下巴下方)、脂肪移植(蘋果肌、額頭)、肉毒桿菌(眉間、額頭)
眼形矯正(切開)重修手術、開後眼角、下至手術、鼻部(鼻樑、鼻尖)、駝峰鼻、耳軟骨、顴骨、全臉脂肪移植
眼形矯正(切開法)、額頭拉提(埋線固定)
眼形矯正(非切開)、開內眼角、歪鼻、截骨
眼形矯正(非切開)、開後眼角、下至
眼睛重修 自然黏連 開內眼角 眼尾下至
眼瞼下至
眼瞼內翻
眼瞼退縮矯正術(過矯修復)、上眼瞼、下眼瞼
眼神矯正(切開)、內眼角修復、外眼角手術、眼下至手術
眼神矯正(非切開)、眼尾下至、開眼尾
眼神矯正(非切開)、開內眼角、開外眼角
眼神矯正(非切開)、開眼尾
眼窩凹陷矯正(上瞼脂肪移植)
眼窩脂肪移植
眼窩脂肪移植,提眉術
眼袋脂肪重置、自然黏連、開上眼角、
眼部修復手術 + 切開法 + 開後眼角 + 眼瞼下至
眼部修復手術 + 埋線 + 開後眼角
眼部修復手術 切開式雙眼皮
眼部修復手術 切開式雙眼皮、雙向開眼角
眼部修復手術 提肌矯正
眼部修復手術 提肌糾正 切開
眼部修復手術 雙眼皮-切開法, 開後眼角
眼部修復手術,上眼瞼
眼部修復手術,切開式雙眼皮
眼部修復手術,切開式雙眼皮,上開眼角
眼部修復手術,切開式雙眼皮,切開式提眼肌校正
眼部修復手術,切開式雙眼皮,切開式提肌矯正,開內眼角
眼部修復手術,切開式雙眼皮,切開式提肌矯正,開內眼角,開外眼角,眼尾下至
眼部修復手術,切開式雙眼皮,開後眼角,開前眼角,眼尾下至
眼部修復手術,切開法雙眼皮,切開法提肌矯正
眼部修復手術,眼尾下至
眼部修復手術,自然黏連
眼部修復手術,自然黏連雙眼皮
眼部修復手術、切開式雙眼皮、切開式提肌矯正、開後眼角、下至術
眼部修復手術、切開法雙眼皮
眼部修復手術、開後眼角、眼尾下至
眼部修復手術(切開式雙眼皮)、眼底脂肪重置
眼部修復手術(切開法)、雙眼皮降寬、開後眼角、眼尾下至
眼部修復手術(切開法雙眼皮)、提肌矯正、眼尾下至、上眼瞼脂肪移植、眼底脂肪移植、眼底脂肪重新排列
眼部修復手術(自然黏連)
眼部修復自然黏連雙眼皮
眼部整形
眼部整形[下眼瞼Plus+外眥固定術]
眼部整形[自然黏連]
眼部整形+上眼瞼
眼部整形+上眼瞼手術
眼部整形+下眼瞼
眼部整形+下眼瞼手術
眼部整形+眼下脂肪移除
眼部重修手術、自然黏連雙眼皮、非切開眼型矯正、開內眼角修復
眼部重修手術(後眼角修復)
短鼻、功能性鼻整形
短鼻、朝天鼻、蒜頭鼻
短鼻、歪鼻
短鼻、蒜頭鼻、縮鼻翼
短鼻、蒜頭鼻、鷹鉤鼻
短鼻、蒜頭鼻整形
短鼻、鼻唇角矯正、鼻翼縮小
短鼻(二次手術)、夾捏鼻、歪鼻、鼻中柱矯正
短鼻(二次手術)、歪鼻、鼻中柱矯正、鼻翼縮小
短鼻(重修)、歪鼻
短鼻矯正+蒜頭鼻矯正
祛眼袋
移除眼下脂肪(TCA) + 眼下脂肪重置
立塑熱塑
童顏&拉提
第5次切開式重修,降雙眼皮線
第三次自然黏連重修手術
維納斯(下巴)、雙下巴肌肉縫合
維納斯雷射(臉頰、下巴下方)、五爪拉皮
縮胸、隆乳
縮鼻翼
縮鼻翼,鼻翼上提
縮鼻翼重修手術
纖體塑形針
美版超聲刀 400發、麗珠蘭、麗莉德
美版超聲刀、InMode FX+FORMA、海芙音波、Virtue RF
美版音波+InMode+蜜光肉毒
美白治療
美白療程
肉毒V臉
肉毒桿菌 玻尿酸
肩膀玻尿酸 (+ 斜方肌肉毒)
肩膀玻尿酸 (+斜方肌肉毒)
肩部填充
胸部、腹部抽脂
胸部整形
胸部脂肪移植
胸部重修+曼陀隆乳
脂肪 (抽脂 - 下巴)
脂肪整形
脂肪移植
脂肪移植(眼窩)
脂肪移植(額頭、前顴骨、下巴)
脂肪移植(額頭、法令紋、蘋果肌)
脂肪移植(額頭)
脂肪移植+輪廓針
腹部抽脂
腹部抽脂、腰側抽脂
腹部整形
膠原蛋白增強劑 (拉波蓮)
臀部凹陷填充
臀部填充
臉部抽脂
臉部抽脂 (雙下巴)
臉部拉提、眼窩脂肪移植、法令紋脂肪移植
臉部拉皮+頸部拉皮
臉部拉皮+頸部拉皮+上眼瞼+鼻整形+AccuLift雷射提拉+脂肪移植
臉部脂肪移植 (額頭)
臉部脂肪移植(蘋果肌、法令紋、側臉頰)
臉部輪廓
臉部輪廓塑形[下巴]
臥蠶玻尿酸
自体肋軟骨隆鼻重修(歪鼻、短鼻)
自然癒合雙眼皮
自然黏合
自然黏合、提眉術、眼底脂肪重置、蘋果肌脂肪移植
自然黏合提眉術
自然黏合重修
自然黏連 上切 後下切 眼底脂肪重新配置 鼻整形
自然黏連 上開眼角 眼底脂肪重新配置
自然黏連 開前眼角 開上眼角
自然黏連 開前眼角 開上眼角 額頭拉提
自然黏連,上切
自然黏連,少年額頭拉皮
自然黏連,提眉
自然黏連,提眉術,眼底脂肪移除,上眼瞼脂肪移植,眼底脂肪移植
自然黏連,眼底脂肪重新配置,提眉術
自然黏連,眼底脂肪重置
自然黏連,開內眼角,開上眼角,開外眼角,開下眼角
自然黏連,額頭提升
自然黏連、上切、眼底脂肪重新配置、前顴骨脂肪移植
自然黏連、上眥整形、提眉
自然黏連、上開、眼下脂肪移除、脂肪移植
自然黏連、上開眼角、眼皮抽脂
自然黏連、上開眼角、眼窩脂肪移植
自然黏連、上開眼角、青少年額頭拉皮
自然黏連、後下至、額頭拉皮
自然黏連、提眉、開內眼角、開上眼角
自然黏連、提眉術
自然黏連、提眉術、開上眼角、開後眼角
自然黏連、提肌矯正、開內眼角、上眼瞼脂肪移植
自然黏連、眼型矯正
自然黏連、眼型矯正、Bling Eye
自然黏連、眼型矯正、提眉術
自然黏連、眼型矯正、眼底脂肪重新配置
自然黏連、眼型矯正、開內眼角
自然黏連、眼型矯正、開前眼角、開上眼角
自然黏連、眼底脂肪重置
自然黏連、眼底脂肪重置、上眼瞼脂肪移植、眼底脂肪移植
自然黏連、脂肪移除、開上眼角
自然黏連、開上眥、提眉術
自然黏連、開上眼角、眼底脂肪重新排列
自然黏連、開上眼角、開內眼角
自然黏連、開上眼角、開後眼角、眼底下至
自然黏連、開內眼角
自然黏連、開內眼角、上眼瞼脂肪移植、眼底脂肪重置
自然黏連、開內眼角、開上眼角
自然黏連修復手術,上切
自然黏連修復手術,上開
自然黏連修復手術,眼底脂肪重置
自然黏連修復手術,開內眼角修復手術
自然黏連修復手術,降低線條
自然黏連修復術,眼窩脂肪移植
自然黏連修復術,開內眼角,開上眼角
自然黏連修復術,開內眼角修復術,開外眼角,眼尾下至
自然黏連修復術、開後眼角、眼底下至
自然黏連提眉術 上瞼脂肪移植
自然黏連提眉術 上開
自然黏連提眉術 額頭拉皮
自然黏連法重修,提眉術
自然黏連眼形矯正修復手術、眉下提眉術、下眼瞼手術
自然黏連重修
自然黏連重修、開上眼角、開後眼角、眼下至
自然黏連重修、開上眼角、開後眼角、眼尾下至
自然黏連重修手術、提眉術、眼窩脂肪移植
自然黏連重塑,眼窩脂肪移植
自然黏連重塑(解除原有線條)
自然黏連開上眼角
自然黏連雙眼皮
自然黏連雙眼皮,非切開眼型矯正
自然黏連雙眼皮,非切開眼型矯正,開內眼角
自然黏連雙眼皮、開內眼角
自然黏連雙眼皮、開內眼角、開外眼角、眼尾下至
自然黏連雙眼皮、開後眼角、眼瞼下至
自然黏連雙眼皮、非切開眼型矯正
自然黏連雙眼皮、非切開眼型矯正、上眼角開大
自然黏連雙眼皮、非切開眼型矯正、開內眼角
自然黏連雙眼皮、非切開眼型矯正、開內眼角、開外眼角、眼尾下至
自體肋軟骨隆鼻、蒜頭鼻、短鼻、龍鼻
自體肋軟骨隆鼻、駝峰鼻、凸嘴矯正
自體肋軟骨隆鼻(蒜頭鼻、短鼻)
自體肋軟骨隆鼻(重修)、歪鼻、鼻中柱矯正
自體肋軟骨隆鼻(重修)、歪鼻、鼻唇角矯正
自體肋軟骨隆鼻(重修)、短鼻、歪鼻、鼻中柱矯正
自體肋軟骨隆鼻(重修)、短鼻、蒜頭鼻、鼻中柱矯正
自體肋軟骨隆鼻(重修)、短鼻、鼻中柱矯正
自體肋軟骨隆鼻(重修)、短鼻、鼻唇角矯正
自體肋軟骨隆鼻(重修)、蒜頭鼻、歪鼻、長鼻
自體肋軟骨隆鼻(重修)、蒜頭鼻、鞍鼻、鼻唇角矯正
自體肋軟骨隆鼻(重修)、鼻中柱矯正
自體肋軟骨隆鼻修復(歪鼻、短鼻、鼻小柱凹陷)
自體肋軟骨隆鼻重修(歪鼻、攣縮鼻)
自體肋軟骨隆鼻重修手術
自體肋軟骨鼻修復手術(歪鼻、鼻中柱凹陷)
自體肋軟骨鼻修復手術(歪鼻、鼻中柱矯正)
自體肋軟骨鼻修復手術(短鼻、鼻中柱矯正)
自體肋軟骨鼻重修(短鼻、嘴凸)
自體肋軟骨鼻重修(鼻中柱矯正)
自體肋軟骨鼻重修手術 (鞍鼻、歪鼻)
自體肋軟骨鼻重修手術(鼻小柱凹陷重建)
舒顏萃、額頭填充
萊科填充微兩顎
蒜頭鼻
蒜頭鼻、塌鼻
蒜頭鼻、敲鼻骨、駝峰鼻、鼻唇角整形
蒜頭鼻、歪鼻
蒜頭鼻、歪鼻、長鼻、鼻中柱矯正
蒜頭鼻、短鼻
蒜頭鼻、短鼻、凸嘴鼻、縮鼻翼
蒜頭鼻、短鼻、歪鼻、鼻中柱矯正
蒜頭鼻、短鼻、歪鼻、鼻唇角矯正
蒜頭鼻、短鼻、鷹鉤鼻、鼻唇角矯正
蒜頭鼻、短鼻、鼻中柱矯正、截骨
蒜頭鼻、短鼻、鼻翼縮小
蒜頭鼻、短鼻整形
蒜頭鼻、縮鼻翼、短鼻
蒜頭鼻、長鼻
蒜頭鼻、長鼻、鞍鼻、鼻唇角、鼻中柱矯正
蒜頭鼻、長鼻、鷹鉤鼻
蒜頭鼻、長鼻、鷹鉤鼻、歪鼻
蒜頭鼻、長鼻、鼻唇角矯正
蒜頭鼻、長鼻、鼻唇角矯正、鷹鉤鼻
蒜頭鼻、長鼻、龍鼻
蒜頭鼻、駝峰鼻、截骨
蒜頭鼻、駝峰鼻、鼻尖下垂、截骨、鼻唇角、鼻中柱矯正
蒜頭鼻、鷹鉤鼻
蒜頭鼻、鷹鉤鼻、敲鼻骨、鼻中柱矯正
蒜頭鼻、鷹鉤鼻、歪鼻、長鼻
蒜頭鼻、鷹鉤鼻、歪鼻、鼻唇角整形
蒜頭鼻、鷹鉤鼻、歪鼻、鼻唇角矯正
蒜頭鼻、鷹鉤鼻、長鼻
蒜頭鼻、鷹鉤鼻、長鼻、鼻中柱矯正、鼻唇角矯正
蒜頭鼻、鷹鉤鼻、長鼻整形
蒜頭鼻、鷹鉤鼻、鼻中柱矯正、蜜桃拉提、嘴角填充
蒜頭鼻、鷹鉤鼻、龍鼻
蒜頭鼻、鼻唇角矯正、切骨、鷹鉤鼻
蒜頭鼻、龍鼻、鼻唇角矯正
蒜頭鼻整形
蒜頭鼻矯正
蒜頭鼻矯正+短鼻矯正+鼻炎美容鼻
蓓菈隆乳
藍玫瑰拉提 (下顎線)
藍玫瑰拉提(法令紋、下顎線)
蘋果肌/法令紋脂肪移植,額頭肉毒桿菌
蜜桃廓影 V臉提拉
蜜桃拉提
蜜桃拉提,下顎線拉提
蜜桃拉提、V型輪廓拉提
蜜桃拉提、V臉拉提
蜜桃拉提、V臉拉提、Juvelook 喬雅露
蜜桃拉提、V臉拉提、法令紋填充
蜜桃拉提、V臉拉提、迷你拉提
蜜桃拉提、V臉拉提、雙下巴拉提
蜜桃拉提、V臉拉提、雙下巴肌肉捆紮、雙下巴抽脂、下巴填充
蜜桃拉提、下顎線拉提
蜜桃拉提、法令紋填充
蜜桃拉提、法令紋玻尿酸
蜜桃輪廓,V臉拉提
蜜桃輪廓,V臉鈴鐺線拉提
蜜桃輪廓拉提
豐唇
豐唇 + 嘴角肉毒
豐唇、嘴角肉毒
豐唇玻尿酸 + 嘴角肉毒
貝拉潔隆乳(重修)
貝拉潔隆乳+副乳切除
賽彬 Sublimity_底盤下垂_12個月
賽彬 Sublimity_形狀不滿意_6個月
賽彬 Sublimity_第6個月
賽彬柔滴_第1個月
賽彬盈波_第7個月
賽彬盈波_第9個月
賽彬隆乳
賽彬香榭柔滴_第8個月
超聲刀, InMode FX+FORMA, Virtue RF
超聲刀+熱瑪吉
軟組織輪廓術+全臉迷你拉提
軟組織輪廓術+迷你拉提
輪廓三項
輪廓三項 (顴骨縮小+下頜角縮小+下巴整形) + 鼻部整形
輪廓三項+(重修)切開法眼型矯正+開後眼角+下至
輪廓三項+AccuLift提升(下顎線)
輪廓三項+全臉迷你拉提
輪廓三項+深層脂肪墊切除
輪廓三項+眼底脂肪移除+鼻整形
輪廓三項+眼部整形+AccuSculpt
輪廓三項+眼部整形+鼻修復手術
輪廓三項+眼部整形+鼻部整形
輪廓三項+眼部整形+鼻部整形+脂肪移植
輪廓三項+迷你拉皮+MINT埋線拉提
輪廓三項+非切開眼型矯正
輪廓三項+非切開眼型矯正+額頭縮小
輪廓三項+鼻修復+全臉脂肪移植
輪廓三項+鼻修復+眼尾下至
輪廓三項+鼻整形
輪廓三項+鼻樑+鼻尖+蒜頭鼻矯正
輪廓二項+V型切骨
輪廓二項+迷你拉提
輪廓二項+鼻整形
輪廓整形
輪廓整形,額頭脂肪移植
輪廓整形、臉部抽脂、埋線拉提
輪廓針
迷你下眼瞼、前顴骨脂肪移植
迷你下眼瞼、蘋果肌脂肪移植
迷你拉提
迷你拉提 + V臉拉提
迷你拉提+Accu(法令紋上方)
迷你拉提+AccuLift拉提
迷你拉提+MINT埋線拉提+V臉下顎線拉提
迷你拉提+MINT拉提
迷你拉提+V臉下顎線拉提+MINT線雕拉提
迷你拉提+V臉下顎線拉提+額頭脂肪移植
迷你拉提+V臉線條拉提+脂肪移植
迷你拉提+彈力線
迷你拉皮
迷你拉皮 (SMAS)
迷你拉皮 (SMAS) + MINT 埋線拉皮
迷你拉皮 + MINT線拉提
迷你拉皮+AccuSculpt+額頭拉皮(安多泰)+全臉脂肪移植+肉毒桿菌[額頭、下巴]
迷你拉皮+AccuSculpt雷射溶脂
迷你拉皮+Elasticum彈力線拉皮+瘦臉針
迷你拉皮+MINT埋線拉提
迷你拉皮+MINT埋線拉提+脂肪移植(額頭、法令紋)
迷你拉皮+MINT線雕+Elasticum彈力線拉提(頸部)
迷你拉皮+MINT線雕+全臉脂肪移植
迷你拉皮+埋線拉提
迷你拉皮+彈力線+MINT線雕
迷你拉皮+彈力線+全臉脂肪移植
迷你拉皮+彈力線+脂肪移植
迷你拉皮+脂肪移植
迷你腹部整形
退縮手術
部分切開雙眼皮,眼下脂肪重新配置
酒窩手術
酒窩手術 (單側)
鈴鐺線拉提
鑽石超塑
長曲線下頜角
長鼻、蒜頭鼻、鼻中柱矯正、截骨、駝峰鼻、縮鼻翼
長鼻子
閉合式隆鼻手術
開上眼角, 切開式雙眼皮, 提肌糾正, 開後眼角, 下至
開內眼角
開內眼角,非切開眼型矯正,自然黏連雙眼皮
開內眼角、上眼瞼、下眼瞼、眼底脂肪重新排列、外眼角矯正術...
開內眼角、外眼角修復、眼底下至
開內眼角修復
開內眼角修復,開外眼角修復
開內眼角修復、瞼內翻
開內眼角修復手術
開前眼角、前額拉皮(線雕固定)
開外眼角、開內眼角
開後眼角
開後眼角 + 眼尾下至
開後眼角、下至
開後眼角+下至
開放式隆鼻手術,自體肋軟骨
開眼角
開眼頭,自然黏連雙眼皮
阿庫 (下顎線)
隆乳
隆乳 (假體)
隆乳, 提乳
隆乳、乳暈整形
隆乳。提乳
隆乳手術
隆乳手術(曼陀女王波)(乳下切口)、音波拉提、麗珠蘭、豐唇玻尿酸、肉毒拉提
隆鼻
隆鼻 蒜頭鼻矯正
隆鼻 駝峰鼻+蒜頭鼻矯正
隆鼻 鼻修復+蒜頭鼻矯正+縮鼻翼
隆鼻 鼻重修
隆鼻 鼻重修+縮鼻翼+蒜頭鼻矯正
隆鼻 鼻重修+蒜頭鼻矯正
隆鼻, 駝峰鼻矯正, 截骨
隆鼻、敲鼻骨、蒜頭鼻矯正
隆鼻、矽膠、鼻尖(異體肋軟骨)、短鼻矯正
隆鼻、矽膠、鼻尖(鼻中隔、耳軟骨)、縮鼻翼、駝峰鼻矯正、長鼻矯正...
隆鼻、縮鼻翼
隆鼻、蒜頭鼻矯正、縮鼻翼
隆鼻、鼻重修
隆鼻修復、功能性鼻整形
隆鼻修復、無假體隆鼻、駝峰鼻矯正、歪鼻矯正
隆鼻修復、縮鼻翼
隆鼻修復+縮鼻術+短鼻矯正+蒜頭鼻矯正
隆鼻修復手術,面部拉皮手術。上眼瞼手術,下眼瞼手術。
隆鼻手術 短鼻矯正+蒜頭鼻矯正
隆鼻手術, 短鼻矯正, 功能性隆鼻
隆鼻手術,寬鼻矯正(截骨術)
隆鼻手術、寬鼻矯正、敲鼻骨、功能性隆鼻
隆鼻手術、捐贈肋軟骨、寬鼻矯正(切骨)
隆鼻手術、敲鼻骨、駝峰鼻矯正、箭頭鼻矯正
隆鼻手術、縮鼻翼、蒜頭鼻矯正
隆鼻手術、蒜頭鼻矯正、功能性鼻整形
隆鼻手術、駝峰鼻矯正、功能性鼻整形
隆鼻手術、駝峰鼻矯正、寬鼻矯正
隆鼻手術[鼻樑+鼻尖)
隆鼻手術[鼻樑+鼻尖]
隆鼻捐贈肋軟骨
隆鼻術
隆鼻術 (鼻樑)
隆鼻術、截骨、駝峰鼻矯正
隆鼻術、駝峰鼻矯正、截骨、自體肋軟骨
隆鼻術、駝峰鼻矯正、顴骨縮小術、下頜角縮小術、下巴後移術
隆鼻術(鼻樑+鼻尖)
隆鼻術(鼻樑+鼻尖),異體肋軟骨,歪鼻矯正術
隆鼻術(鼻樑+鼻尖),短鼻手術
隆鼻重修,自體肋軟骨
隆鼻重修+短鼻矯正
隆鼻重修+縮鼻翼
隆鼻重修+縮鼻翼+蒜頭鼻矯正
隆鼻重修+鼻炎美容隆鼻
雅格 (臉頰)
雙下巴抽脂
雙下巴抽脂 & 肌肉縫合
雙下巴抽脂,前頰拉提
雙下巴抽脂、埋線拉提
雙下巴抽脂、埋線拉提、下巴假體
雙下巴抽脂、雙下巴肌肉縫合
雙下巴拉提,雙下巴抽脂
雙下巴肌肉捆紮 + 下巴填充
雙下巴肌肉縫合
雙下巴肌肉縫合 + Epiticon (下顎線)
雙下巴肌肉縫合+下巴脂肪移植
雙切開眼角+上眼瞼重修
雙向開眼角、面部拉提、眼窩脂肪移植、法令紋脂肪移植
雙效下眼瞼
雙眼皮 (切開法_重修)
雙眼皮-切開
雙眼皮(切開)
雙眼皮(切開)、眉下提拉、下眼瞼、脂肪移植(眼下)
雙眼皮(切開)、眉下提眉
雙眼皮(切開)、開內眼角、開外眼角、眼尾下至、鼻子(鼻樑、鼻尖)、鼻翼縮小(切開)、下頜角、顴骨、下巴、凸嘴、全臉脂肪移植
雙眼皮(切開)、開眼頭
雙眼皮(切開)重修手術
雙眼皮(切開)重修手術,眼底脂肪重新配置
雙眼皮(切開)重修手術、開內眼角重修手術
雙眼皮(切開法)
雙眼皮(切開法)+ 提眼瞼肌手術
雙眼皮(切開法)+ 提肌矯正 + 開眼頭
雙眼皮(切開法)+ 開眼頭
雙眼皮(切開法)+眼型矯正
雙眼皮(埋線)
雙眼皮(埋線)、下眼瞼
雙眼皮(埋線)、眉下提拉、下眼瞼
雙眼皮(埋線)、開內眼角、開外眼角、眼下至
雙眼皮(埋線)、開眼頭
雙眼皮(埋線)、額頭拉提(線雕固定)、下眼瞼手術
雙眼皮(埋線)重修
雙眼皮(埋線)重修、眼尾下至、眼底脂肪移除
雙眼皮(埋線)重修、開內眼角
雙眼皮(埋線)重修、額頭拉提(線雕固定)、鼻子(鼻樑、鼻尖)、敲鼻骨、駝峰鼻、溶解鼻部玻尿酸
雙眼皮(埋線法-右眼)
雙眼皮(埋線法)
雙眼皮(埋線法)+ 開內眼角 + 眼下脂肪移除(TCA)
雙眼皮(埋線法)+開內眼角
雙眼皮(自然黏連)
雙眼皮(自然黏連), 開內眼角
雙眼皮(部分切開)
雙眼皮(部分切開), 開眼頭
雙眼皮(部分切開)、眼下脂肪移植
雙眼皮(部分切開)、額頭拉提(安多泰)
雙眼皮(部分切開)重修、開內眼角
雙眼皮(部分切開)重修、開內眼角重修、開外眼角、下眼瞼下至
雙眼皮(部分切開)重修手術
雙眼皮(部分切開法)
雙眼皮(非切開)、眉下提拉、下眼瞼
雙眼皮重修 (埋線)
雙眼皮重修(切開)
雙眼皮重修(切開)+提肌
雙眼皮重修(切開法)+眼型矯正
雙眼皮重修(切開法+眼型矯正)
雙眼皮鬆脫矯正
雙重縮鼻翼
雙項開眼角(開內眼角、下至)
雙項開眼角(開內眼角、開上眼角)、ROOF脂肪切除
雙項開眼角(開後眼角、眼尾下至)
青少年額頭拉提、自然黏連、上開眼角
青春痘治療
青春痘療程
非切開提眼肌,眼底脂肪重置
非切開提眼肌、上開眼角
非切開提眼肌+開內眼角+開上眼角+開外眼角+眼尾下至
非切開提眼肌+開眼頭
非切開提眼肌手術 提眉術
非切開提眼肌手術、眉下提眉術、眼下脂肪重新排列、瞼內翻
非切開提肌手術+重修+開前眼角
非切開提肌矯正+上開眼角+外開眼角+下至
非切開提肌矯正+雙向開眼角+重修
非切開提肌糾正重做+下至+開後眼角重做
非切開提肌重修
非切開提肌重修、上眼瞼脂肪移植
非切開提肌重修手術、開內眼角重修手術
非切開眼型矯正
非切開眼型矯正 開上眼角
非切開眼型矯正 開內眼角 開上眼角
非切開眼型矯正, 眼下脂肪重置, 脂肪移植(眼下)
非切開眼型矯正,開內眼角
非切開眼型矯正、上提
非切開眼型矯正、上開眼角、後下至、眼底脂肪重新配置
非切開眼型矯正、提眉、眼皮脂肪去除
非切開眼型矯正、開內眼角、開上眼角
非切開眼型矯正、開內眼角、開上眼角、開外眼角
非切開眼型矯正、開眼角、上眼瞼脂肪移植、眼下脂肪重新排列
非切開眼型矯正、開眼角手術、眼底脂肪重置
非切開眼型矯正、降低雙眼皮線、上眼瞼脂肪移植
非切開眼型矯正+眼尾下至+開後眼角
非切開眼型矯正+開內眼角
非切開眼型矯正+開後眼角+下至
非切開眼型矯正重修、降低雙眼皮線條、眼窩脂肪移植
非切開眼型矯正重修+開前眼角
非切開眼形矯正、脂肪移除
非切開重修+眼下脂肪移植
非手術法令紋拉提
非手術法令紋拉提 (Jamber線, 法令紋填充), 額頭填充
非手術法令紋拉提 (JAMBER線、法令紋填充)
非手術眼底整形
非手術隆鼻
面部拉皮、下顎角削骨、上眼瞼、下眼瞼、前額拉皮
面部拉皮+頸部拉皮+下眼瞼手術
頸部拉提
頸部拉皮
額頭假體
額頭填充
額頭拉提
額頭拉提 (埋線固定)
額頭拉提(線雕固定)、全臉脂肪移植、貴族手術(假體)
額頭拉皮
額頭拉皮 (安多泰)
額頭拉皮 (骨隧道固定)
額頭拉皮 提眉術
額頭拉皮、下眼瞼、眉下提眉、脂肪移植(眼下)
額頭拉皮、切開重修
額頭拉皮、提眉
額頭拉皮、提眉、下眼瞼、中臉拉皮
額頭拉皮、自然黏連、眼底脂肪重置
額頭拉皮、輪廓整形、臉部抽脂、下巴假體
額頭拉皮手術
額頭縮小
額頭縮小術
額頭脂肪移植
顴骨、下頜角、下巴、皮質切骨
顴骨、維納斯雷射
顴骨+下巴
顴骨+下頜角+下巴
顴骨+下顎角
顴骨縮小
顴骨縮小 + 鼻整形 + AccuSculpt雷射溶脂(下顎線、雙下巴) + 脂肪移植(額頭)
顴骨縮小、下巴、下顎角縮小、皮質骨切除、鼻子(鼻樑、鼻尖)、歪鼻矯正、鼻骨縮小、蒜頭鼻
顴骨縮小、下巴縮小、皮質骨切除、眼睛修復手術、自然黏連雙眼皮、非切開眼型矯正、開內眼角、眼尾下至
顴骨縮小、下顎角縮小
顴骨縮小、下顎角縮小、下巴縮小
顴骨縮小+下頜角手術+下巴整形+AccuSculpt雷射溶脂(臉頰)
顴骨縮小+下頜角縮小+下巴+AccuSculpt雷射溶脂(下顎線+雙下巴)+鼻整形
顴骨縮小+下頜角縮小+下巴+AccuSculpt雷射溶脂+鼻修復手術
顴骨縮小+下頜角縮小+下巴+臉部輪廓修復手術
顴骨縮小+下頜角縮小+下巴延長+脂肪移植
顴骨縮小+下頜角縮小+下巴手術
顴骨縮小+下頜角縮小+下巴整形(下巴前移)+眼睛修復手術+鼻部整形
顴骨縮小+下頜角縮小+下巴整形(下巴長度縮短)+鼻部重修手術
顴骨縮小+下頜角縮小+下巴整形+AccuSculpt+鼻整形
顴骨縮小+下頜角縮小+下巴整形+AccuSculpt雷射溶脂
顴骨縮小+下頜角縮小+下巴整形+凸嘴
顴骨縮小+下頜角縮小+下巴整形+咬肌縮小
顴骨縮小+下頜角縮小+下巴整形+眼部整形
顴骨縮小+下頜角縮小+下巴整形+脂肪移植(蘋果肌、額頭)+鼻整形
顴骨縮小+下頜角縮小+下巴整形+鼻修復+脂肪移植(額頭、蘋果肌)
顴骨縮小+下頜角縮小+下巴整形+鼻整形
顴骨縮小+下頜角縮小+下巴縮小
顴骨縮小+下頜角縮小+下巴縮小+輪廓修復手術
顴骨縮小+下頜角縮小+全臉脂肪移植+鼻整形
顴骨縮小+下頜角縮小+鼻整形
顴骨縮小+下顎角縮小
顴骨縮小+下顎角縮小+AccuSculpt
顴骨縮小+下顎角縮小+下巴整形
顴骨縮小+下顎角縮小+下巴整形+AccuSculpt雷射溶脂(下顎線、雙下巴)+鼻整形
顴骨縮小+下顎角縮小+下巴整形+AccuSculpt雷射溶脂(雙下巴)+鼻整形
顴骨縮小+下顎角縮小+下巴整形+咀嚼肌縮小+AccuSculpt+鼻整形
顴骨縮小+下顎角縮小+眼睛修復+鼻子修復
顴骨縮小+眼部修復+雙重開眼角+鼻整形
顴骨縮小+雅各光雕
顴骨縮小+鼻整形+AccuSculpt鐳射溶脂
顴骨縮小術
顴骨縮小術、下頜角縮小術
顴骨縮小術、下頜角縮小術、下巴前移術
顴骨縮小術、下頜角縮小術、下巴前移術、皮質骨切除術、隆鼻術、駝峰鼻矯正、鼻翼縮小
顴骨縮小術、下頜角縮小術、下巴縮小術
顴骨縮小術、下頜角縮小術、鼻修復手術
顴骨縮小術、長曲線
香榭柔滴_第2個月
駝峰鼻+歪鼻矯正
駝峰鼻+蒜頭鼻矯正
骨盆填充
魔滴
魔滴_12個月
魔滴_13個月
魔滴_1週年
魔滴_2個月
魔滴_3個月
魔滴_4個月
魔滴_5個月
魔滴_6個月
魔滴_7個月
魔滴_尺寸不滿意_11個月
魔滴_底盤下垂_4個月
魔滴_形狀不滿意_1個月
魔滴_第8個月
魔滴_莢膜攣縮_6個月차
魔滴隆乳
魔滴隆乳+副乳切除
鳳凰電波 300發 + 舒顏萃 (蘋果肌 + 法令紋 + 側臉頰)
鳳凰電波 600發 + Onda 60KJ
鷹鉤鼻
鷹鉤鼻、蒜頭鼻
鷹鉤鼻、蒜頭鼻、歪鼻
鷹鉤鼻、鼻唇角矯正
鷹鉤鼻整形
鷹鉤鼻矯正
鷹鉤鼻蒜頭鼻矯正 鼻炎美容隆鼻
麗波音熱纖
麗珠蘭
麗珠蘭 4cc
鼻 (鼻樑、鼻尖)、截骨
鼻 (鼻樑、鼻尖)、縮鼻骨、駝峰鼻、蒜頭鼻、縮鼻翼 (切開)、鼻中隔、異體肋軟骨
鼻,矽膠,塌鼻矯正,填充物移除
鼻、無假體、鼻尖(鼻中隔)
鼻、無假體、鼻尖(鼻中隔)、矮鼻矯正
鼻、矽膠、鼻尖(鼻中隔)
鼻、矽膠、鼻尖(鼻中隔)、塌鼻矯正
鼻、矽膠、鼻尖(鼻中隔)、縮鼻翼、敲鼻骨
鼻、矽膠、鼻尖(鼻中隔)、駝峰鼻矯正、塌鼻矯正、長鼻矯正...
鼻(重修)
鼻(鼻樑、鼻尖)、蒜頭鼻、縮鼻翼(切開)、耳軟骨、鼻中隔、矽膠(4.5mm)
鼻(鼻樑、鼻尖)、駝峰、截骨
鼻(鼻樑、鼻尖)、鼻中隔、頭皮筋膜
鼻(鼻樑、鼻尖)、鼻骨縮窄
鼻(鼻樑、鼻尖)重修
鼻修復手術 (蒜頭鼻、鼻唇角矯正、歪鼻、自體肋軟骨)
鼻修復手術,自體肋軟骨,顴骨縮小
鼻修復手術、自體肋軟骨、縮鼻翼、下鼻甲、鼻中隔彎曲、鼻閥手術
鼻修復手術、駝峰鼻矯正、蒜頭鼻矯正
鼻修復手術(夾捏鼻、歪鼻、鼻中柱整形)
鼻修復手術(短鼻、歪鼻、鼻小柱矯正)
鼻修復手術(短鼻、蒜頭鼻、鼻中柱矯正)
鼻修復手術(臀部真皮)、鼻孔下移
鼻修復手術(蒜頭鼻、歪鼻、鼻中柱矯正)
鼻修復手術(蒜頭鼻、長鼻、龍鼻)
鼻子 (鼻樑、鼻尖)
鼻子,無假體,鼻尖(鼻中隔),縮鼻翼,縮鼻頭,駝峰鼻矯正...
鼻子、矽膠、鼻尖(鼻中隔)、駝峰鼻矯正
鼻子、矽膠、鼻尖(鼻中隔)、駝峰鼻矯正、塌鼻矯正...
鼻子、矽膠、鼻頭(鼻中隔)、短鼻矯正
鼻子(鼻樑、鼻尖)、埋線拉提
鼻子(鼻樑、鼻尖)、截骨、駝峰鼻、歪鼻
鼻子(鼻樑、鼻尖)、歪鼻
鼻子(鼻樑、鼻尖)、歪鼻、縮鼻骨
鼻子(鼻樑、鼻尖)、歪鼻、駝峰鼻、蒜頭鼻、耳軟骨、人工真皮、矽膠(4.5mm)
鼻子(鼻樑、鼻尖)、箭頭鼻、蒜頭鼻、駝峰鼻、鼻骨縮窄
鼻子(鼻樑、鼻尖)、箭頭鼻、駝峰鼻、鼻孔緣下降、下鼻甲、頭皮筋膜、縮鼻翼(切開)、無植入物
鼻子(鼻樑、鼻尖)、箭頭鼻、鼻骨縮窄、下頜角、下巴、皮質骨切除
鼻子(鼻樑、鼻尖)、縮鼻翼(切開)、駝峰鼻、縮鼻骨
鼻子(鼻樑、鼻尖)、縮鼻翼(非切開)
鼻子(鼻樑、鼻尖)、縮鼻骨、蒜頭鼻
鼻子(鼻樑、鼻尖)、縮鼻骨、駝峰鼻、箭頭鼻、無假體、鼻中隔、耳軟骨
鼻子(鼻樑、鼻尖)、縮鼻骨、駝峰鼻、箭頭鼻、蒜頭鼻、耳軟骨、鼻中隔、矽膠(4mm)
鼻子(鼻樑、鼻尖)、縮鼻骨、駝峰鼻、箭頭鼻、蒜頭鼻、耳軟骨、鼻中隔、自體真皮(頭皮筋膜)
鼻子(鼻樑、鼻尖)、縮鼻骨、駝峰鼻、蒜頭鼻、鼻中隔、耳軟骨、矽膠(4mm)
鼻子(鼻樑、鼻尖)、蒜頭鼻
鼻子(鼻樑、鼻尖)、駝峰鼻、下頜角、前頷、皮質骨切除
鼻子(鼻樑、鼻尖)、駝峰鼻、下顎角
鼻子(鼻樑、鼻尖)、駝峰鼻、歪鼻、箭頭鼻、頭皮筋膜
鼻子(鼻樑、鼻尖)、駝峰鼻、歪鼻、縮鼻骨
鼻子(鼻樑、鼻尖)、駝峰鼻、歪鼻、縮鼻骨、鼻翼縮小(切開)
鼻子(鼻樑、鼻尖)、駝峰鼻、箭頭鼻、耳軟骨、鼻中隔軟骨、矽膠(6mm)
鼻子(鼻樑、鼻尖)、駝峰鼻、箭頭鼻、顴骨、全臉脂肪移植
鼻子(鼻樑、鼻尖)、駝峰鼻、縮鼻翼(切開)
鼻子(鼻樑、鼻尖)、駝峰鼻、縮鼻翼(非切開)
鼻子(鼻樑、鼻尖)、駝峰鼻、縮鼻骨
鼻子(鼻樑、鼻尖)、駝峰鼻、蒜頭鼻
鼻子(鼻樑、鼻尖)、駝峰鼻、蒜頭鼻、鼻中隔軟骨、耳軟骨、矽膠(4mm)
鼻子(鼻樑、鼻尖)、駝峰鼻、鼻骨縮窄、下頜角、顴骨、下巴
鼻子(鼻樑、鼻尖)、駝峰鼻、鼻骨縮窄、下頜角、顴骨、下巴、皮質骨切除
鼻子(鼻樑、鼻尖)、鷹鉤鼻
鼻子(鼻樑、鼻尖)、鷹鉤鼻、短鼻
鼻子(鼻樑、鼻尖)、鷹鉤鼻、短鼻、蒜頭鼻
鼻子(鼻樑、鼻尖)、鷹鉤鼻、箭頭鼻
鼻子(鼻樑、鼻尖)、鷹鉤鼻、維納斯雷射
鼻子(鼻樑、鼻尖)、鷹鉤鼻、蒜頭鼻、短鼻
鼻子(鼻樑、鼻尖)、鼻骨縮窄、短鼻、鼻中隔、耳軟骨、矽膠(3.5mm)
鼻子(鼻樑、鼻尖)、鼻骨縮窄、蒜頭鼻、短鼻、鼻中隔軟骨
鼻尖、箭頭鼻、鼻中隔
鼻尖、縮鼻翼(切開)
鼻尖、縮鼻骨、脂肪移植(眼下)、心形線雕、下巴
鼻尖、鷹鉤鼻
鼻尖、鼻骨縮窄、駝峰鼻
鼻尖手術、駝峰鼻矯正
鼻尖手術、駝峰鼻矯正、截骨
鼻尖手術、鼻翼縮小、蒜頭鼻
鼻尖整形
鼻整形 基礎隆鼻+鼻炎美容隆鼻
鼻整形 截骨+駝峰鼻
鼻整形 歪鼻矯正
鼻整形 歪鼻矯正+縮鼻翼
鼻整形 縮鼻翼
鼻整形 縮鼻翼+短鼻矯正+蒜頭鼻矯正
鼻整形 蒜頭鼻矯正+短鼻矯正
鼻整形 蒜頭鼻矯正+短鼻矯正+駝峰鼻
鼻整形 蒜頭鼻矯正+縮鼻翼
鼻整形 蒜頭鼻矯正+駝峰鼻
鼻整形 蒜頭鼻矯正+鼻炎美容鼻
鼻整形 蒜頭鼻矯正+鼻炎鼻整形
鼻整形 鷹鉤鼻+短鼻矯正
鼻整形 鷹鉤鼻+縮鼻翼+蒜頭鼻矯正
鼻整形 鼻炎美容鼻
鼻整形 鼻炎美容鼻+短鼻矯正
鼻整形,截骨
鼻整形、功能性鼻整形
鼻整形、功能性鼻整形、蒜頭鼻矯正
鼻整形、寬鼻矯正、截骨
鼻整形、寬鼻矯正、敲鼻骨、功能性鼻整形
鼻整形、短鼻矯正
鼻整形、縮鼻翼
鼻整形、蒜頭鼻整形
鼻整形、蒜頭鼻整形、短鼻矯正
鼻整形、蒜頭鼻矯正
鼻整形、蒜頭鼻矯正、功能性鼻整形、駝峰鼻矯正
鼻整形、蒜頭鼻矯正、駝峰鼻矯正
鼻整形、駝峰鼻矯正、功能性鼻整形
鼻整形、駝峰鼻矯正、寬鼻矯正(截骨術)
鼻整形、鷹鉤鼻矯正
鼻整形、鼻翼矯正
鼻樑
鼻樑+鼻尖
鼻樑+鼻尖(軟骨重新排列)
鼻樑+鼻尖+墊下巴
鼻樑+鼻尖+駝峰鼻+顴骨縮小
鼻部,無假體,鼻尖(鼻中隔),駝峰鼻矯正,敲鼻骨
鼻部、無假體、鼻尖(鼻中隔)、功能性2項
鼻部、矽膠、鼻尖(耳軟骨)、駝峰鼻矯正、軟骨縫合
鼻部、矽膠、鼻尖(鼻中隔)、功能性2項
鼻部、矽膠、鼻尖(鼻中隔)、駝峰鼻矯正、敲鼻骨
鼻部(重修)、更換矽膠、鼻尖(自體肋軟骨)、攣縮鼻矯正...
鼻部(重修)、矽膠更換、鼻尖(異體肋軟骨)、短鼻矯正...
鼻部(重修)、矽膠更換、鼻尖(鼻中隔、異體肋軟骨)
鼻部(鼻樑、鼻尖)、歪鼻、鼻骨縮窄、短鼻、自體肋軟骨、耳軟骨、矽膠(4mm)
鼻部(鼻樑、鼻尖)、箭頭鼻、蒜頭鼻、耳軟骨、鼻中隔、矽膠(4.5mm)、下巴
鼻部(鼻樑、鼻尖)、縮鼻骨、短鼻、耳軟骨、鼻中隔、異體肋軟骨、矽膠(3.5mm)
鼻部(鼻樑、鼻尖)、蒜頭鼻、鼻中柱下移、縮鼻翼(切開)、自體肋軟骨
鼻部(鼻樑、鼻尖)、駝峰鼻、全臉脂肪移植
鼻部(鼻樑、鼻尖)、駝峰鼻、敲鼻骨、縮鼻翼(切開)
鼻部(鼻樑、鼻尖)、駝峰鼻、鼻中隔、耳軟骨、矽膠(4mm)、下巴假體
鼻部(鼻樑、鼻尖)、駝峰鼻、鼻孔下移、縮鼻翼(鼻翼上提)
鼻部(鼻樑、鼻尖)、駝峰鼻、鼻骨縮窄、蒜頭鼻、顴骨、下頜角、下巴、皮質骨切除、脂肪移植(蘋果肌、法令紋、額頭、太陽穴)
鼻部(鼻樑、鼻尖)、鼻骨縮窄、蒜頭鼻、縮鼻翼(切開)、鼻中隔、耳軟骨、自體肋軟骨、矽膠(3mm)
鼻部(鼻樑、鼻尖)、鼻骨縮窄、駝峰鼻、蒜頭鼻、矽膠(5mm)、溶解玻尿酸
鼻部(鼻樑、鼻尖)、鼻骨縮窄、駝峰鼻、蒜頭鼻、耳軟骨、鼻中隔
鼻部(鼻樑、鼻尖)修復手術,脂肪移植(額頭、下巴)
鼻部(鼻樑、鼻尖)修復手術,鼻孔緣下降
鼻部(鼻樑、鼻尖)修復手術、下頜角、下巴、維納斯雷射
鼻部(鼻樑、鼻尖)修復手術、歪鼻、蒜頭鼻、異體肋軟骨、矽膠
鼻部(鼻樑、鼻尖)修復手術、歪鼻、駝峰鼻、鼻骨縮窄、異體肋軟骨、顴骨、下頜角、下巴、皮質骨切除、脂肪移植(額頭)
鼻部(鼻樑、鼻尖)修復手術、蒜頭鼻、箭頭鼻、鼻孔下降、鼻中隔、耳軟骨、貴族手術
鼻部(鼻樑、鼻尖)修復術、下頜角、顴骨、下巴、皮質骨切除
鼻部(鼻樑、鼻尖)修復術、歪鼻、鼻中柱下移、截骨、異體肋軟骨
鼻部(鼻樑、鼻尖)修復術、縮鼻骨、駝峰鼻、歪鼻、蒜頭鼻、自體肋軟骨、Ulthera 超聲刀、V臉肉毒素
鼻部(鼻樑、鼻尖)重修,頭皮筋膜,異體肋軟骨
鼻部(鼻樑、鼻尖)重修、駝峰鼻、截骨
鼻部(鼻樑、鼻尖)重修、鷹鉤鼻
鼻部(鼻樑、鼻尖)重修、鼻骨縮小、縮鼻翼(切開)
鼻部(鼻樑、鼻尖)重修手術,縮鼻翼(切開)
鼻部(鼻樑、鼻尖)重修手術、全臉脂肪移植、維納斯雷射
鼻部(鼻樑、鼻尖)重修手術、維納斯雷射
鼻部(鼻樑、鼻尖)重修手術、蒜頭鼻、鼻中柱下移、鼻中隔、耳軟骨、矽膠 (3.5mm)
鼻部修復,短鼻矯正
鼻部修復手術 (歪鼻、長鼻、鼻唇角矯正)
鼻部修復手術,異體肋軟骨
鼻部修復手術、內眼角修復
鼻部重修(短鼻、蒜頭鼻、縮鼻翼、鼻中柱矯正)
鼻部重修手術 (短鼻、歪鼻)
鼻重修,功能性肋軟骨
鼻重修、朝天鼻矯正
鼻重修、歪鼻、縮鼻翼、自體肋軟骨
鼻重修、異體肋軟骨、駝峰鼻矯正
鼻重修、自體肋軟骨、下鼻甲
鼻重修、自體肋軟骨、敲鼻骨、攣縮鼻
鼻重修、鼻孔緣下降
鼻重修(蒜頭鼻、鷹鉤鼻)
鼻重修手術
鼻頭整形、鼻翼縮小
所有診所
(Want Plastic Surgery)
A-TOP整形外科診所
All Lifting整形外科診所
Apex整形外科診所
Beauty Blossom Clinic
DA整形外科診所
HUSH整形外科診所
JAYJUN整形外科
NANA整形外科
OLLO整形外科診所
One Day牙科醫院
THANK YOU整形外科診所
Very Good整形外科
Wonderful整形外科診所
整形外科
江南舒妍整形外科診所
魏整形外科診所
麗延莊整形外科診所
Before
After
Wonderful整形外科診所
#部分切開 #上開眼角 #後下至
#部分切開 #上眼瞼提拉 #後下眼瞼下至
Before
After
Wonderful整形外科診所
#全切開 #上提 #提肌 #眼窩脂肪移除
#完全切開 #上眼瞼提拉 #眼瞼下垂矯正 #去除上眼皮脂肪
Before
After
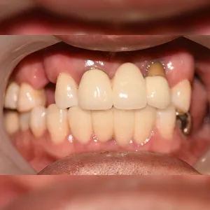
One Day牙科醫院
上顎/磨牙部位 / 3顆以下 / 補骨|舒眠|糖尿病
案例 190 50多歲 吳*烈 2018-08-31 / 2019-03-28
Before
After
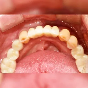
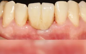
One Day牙科醫院
上顎 / 臼齒部位 / 3顆以下 / 補骨
案例 187 50多歲 崔*淑 2020-07-30 / 2021-05-12
Before
After
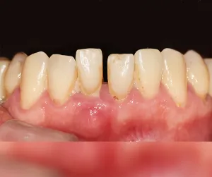
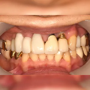
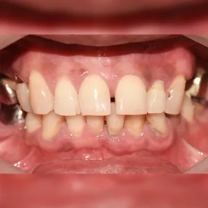
One Day牙科醫院
下顎/前牙部分 / 4顆以上 / 補骨|舒眠|高血壓
案例.176 50多歲 秋*旭 2018-09-14 / 2019-08-29
Before
After
One Day牙科醫院
上顎/門牙部位 / 4顆以上 / 補骨|舒眠|高血壓|糖尿病
案例 164 50多歲 崔*旭 2018-09-14 / 2019-08-29
Before
After
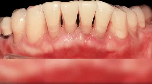
One Day牙科醫院
下顎/前牙區 / 3顆以下 / 補骨|舒眠
案例.141 40多歲 鄭*勳 2018-08-24 / 2019-04-19
Before
After
One Day牙科醫院
下顎/前牙部位 / 3顆以下 / 補骨|舒眠|高血壓|糖尿病
案例137 40多歲 崔*浩 2020-05-29 / 2021-03-30
Before
After
One Day牙科醫院
下顎/前牙區 / 3顆以下 / 補骨|舒眠
案例 132:50 多歲的李*勇 2020-07-03 / 2020-10-15
26
27
28
29
30
正在查看:
首頁
搜尋
整形體驗
收藏
訊息
我的
熱門關鍵字
整形外科
皮膚科
牙科
肉毒桿菌
玻尿酸