[眼睛] MyMelos - 眼睛、鼻子
<術後>
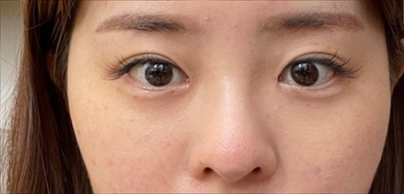
<術前>
做了眼睛和鼻子手術後,人們的視線都變得不一樣了ㅠㅠ
手術前是比較圓潤的印象,也不是我追求的美感,
所以每次照鏡子的時候,都強烈地想改變ㅠㅠ
周圍也有很多愛管閒事的人,不管做什麼都會說「這樣也不錯啊~」的人也很多,
因為壓力太大所以想做手術,手術後周圍的視線也改變了很多,臉也看起來更精緻,我很滿意..ㅎㅎ
參考一下,眼睛是重修手術,鼻子是第一次手術。
手術前覺得原本的長相應該不會有太大的改變,但撇開原本的長相不說,
我覺得要好好掌握需求,在技術好的醫院做手術才能成功ㅎㅎ
我說我想自然地變漂亮,他們就做得非常自然!
雖然價格好像有點高,但還是在有名且技術好的地方做了手術,
而且還成功了,心情非常好ㅎㅎ
<術前>
做了眼睛和鼻子手術後,人們的視線都變得不一樣了ㅠㅠ
手術前是比較圓潤的印象,也不是我追求的美感,
所以每次照鏡子的時候,都強烈地想改變ㅠㅠ
周圍也有很多愛管閒事的人,不管做什麼都會說「這樣也不錯啊~」的人也很多,
因為壓力太大所以想做手術,手術後周圍的視線也改變了很多,臉也看起來更精緻,我很滿意..ㅎㅎ
參考一下,眼睛是重修手術,鼻子是第一次手術。
手術前覺得原本的長相應該不會有太大的改變,但撇開原本的長相不說,
我覺得要好好掌握需求,在技術好的醫院做手術才能成功ㅎㅎ
我說我想自然地變漂亮,他們就做得非常自然!
雖然價格好像有點高,但還是在有名且技術好的地方做了手術,
而且還成功了,心情非常好ㅎㅎ