REBEAUTY 韓國美妝

搜尋
登入 註冊
  • 診所
    分類
    • 查看全部
    • 整形外科
    • 皮膚科
    • 眼科
    • 牙科
    熱門項目
    • 眼部整形
    • 抽脂
    • 隆鼻術
    • 面部輪廓
    • 隆胸
  • 整形外科
  • 皮膚科
  • 眼科
  • 牙科
  • 評價 REAL
  • 前後對比
  • YouTube
  • 雜誌 NEW
  • 活動 HOT
  • AI模擬 AI
REBEAUTY 韓國美妝
登入 新註冊
整形虛擬模擬
整形體驗
診所
全部 整形外科 皮膚科 眼科 牙科
內容
評價 對比 YouTube 雜誌 活動
支援
常見問題 公告 聯繫我們
社群登入
  1. 首頁
  2. 前後對比
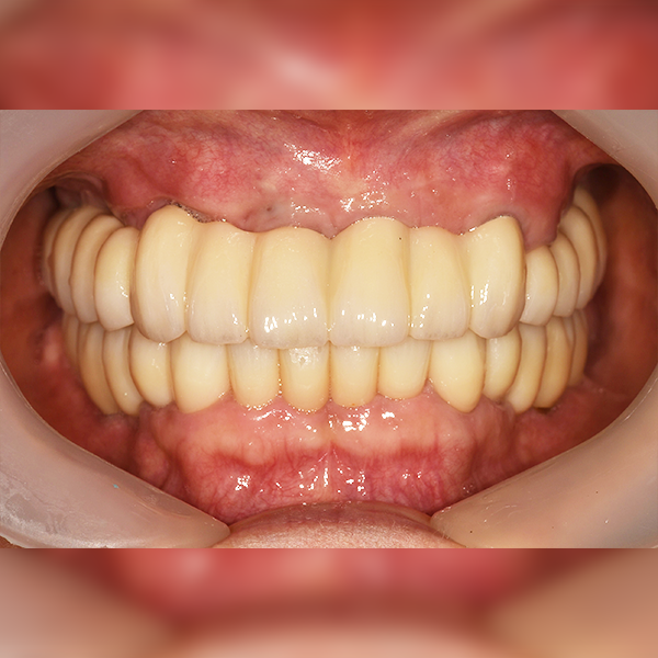
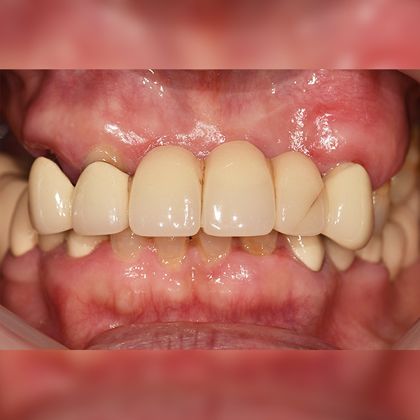
  3. 案例 249 60多歲 尹*熙 2020-08-17 / 2021-06-25
One Day牙科醫院
下顎/臼齒部位 / 4顆以上 / 補骨|舒眠

案例 249 60多歲 尹*熙 2020-08-17 / 2021-06-25

2026.02.15 | 88
After After
Before Before
Drag to compare
Before Before
After After
Before Before
After After
診所資訊
One Day牙科醫院 查看詳情
返回列表
REBEAUTY 韓國美妝
  • 公司: 美麗再現股份有限公司
  • 營業登記號: 706-88-03573
  • 地址: 首爾特別市九老區數位路34街55號,코오롱科學谷2期 B201-161-7號 (08378)
  • 電話: +82-10-7213-3785
  • 信箱: cs@rebeauty.co.kr
  • 營業時間: 週一至週五 09:00 - 18:00(韓國時間)
客戶服務
  • 公告
  • 常見問題
  • 客戶支援
  • 聯繫我們
  • 使用條款
  • 隱私政策
追蹤我們
電子報

獲取K-Beauty資訊和優惠券。

© 2026 REBEAUTY 韓國美妝. All rights reserved.

中文支援 安心預約 精選診所
正在查看:
首頁 搜尋 整形體驗 收藏 訊息 我的
熱門關鍵字
整形外科 皮膚科 牙科 肉毒桿菌 玻尿酸